• Tel: 858.663.9055
  • SeparatorEmail: info@nsjbio.com
  • Tel: 858.663.9055
  • Email: info@nsjbio.com
Home >> Antibodies >> GGA3 Antibody

GGA3 Antibody (RQ6556)

  Catalog No Formulation Size Price (USD)  
Image RQ6556 0.5mg/ml if reconstituted with 0.2ml sterile DI water 100 ug 449
Bulk quote request
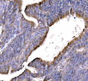
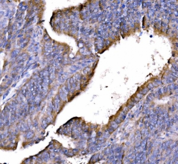
IHC staining of FFPE human rectal cancer tissue with GGA3 antibody. HIER: boil tissue sections in pH8 EDTA for 20 min and allow to cool before testing.
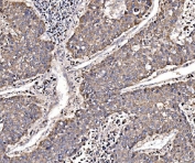
IHC staining of FFPE human pancreatic cancer tissue with GGA3 antibody. HIER: boil tissue sections in pH8 EDTA for 20 min and allow to cool before testing.
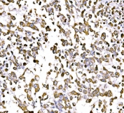
IHC staining of FFPE human liver cancer tissue with GGA3 antibody. HIER: boil tissue sections in pH8 EDTA for 20 min and allow to cool before testing.
Immunofluorescent staining of FFPE human Caco-2 cells with GGA3 antibody (green) and DAPI nuclear stain (blue). HIER: steam section in pH6 citrate buffer for 20 min.
Western blot testing of human 1) SH-SY5Y, 2) HEL, 3) K562, 4) HL60 and 5) T-47D cell lysate with GGA3 antibody. Predicted molecular weight ~78 kDa but can be observed at up to 90 kDa.
Flow cytometry testing of human Raji cells with GGA3 antibody at 1ug/million cells (blocked with goat sera); Red=cells alone, Green=isotype control, Blue= GGA3 antibody.
Availability 1-3 business days
Species Reactivity Human
Format Antigen affinity purified
Host Rabbit
Clonality Polyclonal (rabbit origin)
Isotype Rabbit IgG
Purity Affinity purified
Buffer Lyophilized from 1X PBS with 2% Trehalose
UniProt Q9NZ52
Localization Cytoplasmic
Applications Western Blot : 1-2ug/ml
Immunohistochemistry (FFPE) : 2-5ug/ml
Flow Cytometry : 1-3ug/million cells
Direct ELISA : 0.1-0.5ug/ml
Limitations This GGA3 antibody is available for research use only.
Review this product on BioCompare and get a $20 Amazon gift card

Description

ADP-ribosylation factor-binding protein GGA3 is a protein that in humans is encoded by the GGA3 gene. This gene encodes a member of the Golgi-localized, gamma adaptin ear-containing, ARF-binding (GGA) family. This family includes ubiquitous coat proteins that regulate the trafficking of proteins between the trans-Golgi network and the lysosome. These proteins share an amino-terminal VHS domain which mediates sorting of the mannose 6-phosphate receptors at the trans-Golgi network. They also contain a carboxy-terminal region with homology to the ear domain of gamma-adaptins. Multiple alternatively spliced transcript variants have been identified in this gene.

Application Notes

Optimal dilution of the GGA3 antibody should be determined by the researcher.

Immunogen

An E. coli-derived human protein (amino acids E7-P535) was used as the immunogen for the GGA3 antibody.

Storage

After reconstitution, the GGA3 antibody can be stored for up to one month at 4oC. For long-term, aliquot and store at -20oC. Avoid repeated freezing and thawing.

Cross
Bulk Quote Request Form
Name*:
Organization*:
Email*:
Phone Number*:
Catalog No.*:
Comments and Specifics(amount, formulation, etc.)*:
Validation code: Captchapackage Image


Can't read the image? click here to refresh.
    *required field

Your bulk quote request has been submitted successfully!

Please contact us if you have any questions.