• Tel: 858.663.9055
  • SeparatorEmail: info@nsjbio.com
  • Tel: 858.663.9055
  • Email: info@nsjbio.com
Home >> Antibodies >> GDE1 Antibody

GDE1 Antibody (R35971)

  Catalog No Formulation Size Price (USD)  
Image R35971-100UG 0.5 mg/ml in 1X TBS, pH7.3, with 0.5% BSA (US sourced) and 0.02% sodium azide 100 ug 475
Bulk quote request
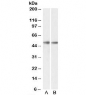
Western blot testing of mouse [A] and rat [B] brain lysates with GDE1 antibody at 0.3ug/ml. Predicted molecular weight: ~38/50kDa (unmodified/glycosylated).
Availability 1-3 business days
Species Reactivity Human, Mouse, Rat
Format Antigen affinity purified
Host Goat
Clonality Polyclonal (goat origin)
Isotype Goat Ig
Purity Antigen affinity
Gene ID 51573
Applications Western Blot : 0.3-1ug/ml
ELISA (peptide) LOD : 1:128000
Limitations This GDE1 antibody is available for research use only.
Review this product on BioCompare and get a $20 Amazon gift card

Description

Additional name(s) for this target protein: Glycerophosphodiester phosphodiesterase 1

Application Notes

Optimal dilution of the GDE1 antibody should be determined by the researcher.

Immunogen

Amino acids SLSHTGDGKPRYD were used as the immunogen for this GDE1 antibody.

Storage

Aliquot and store the GDE1 antibody at -20oC.

Cross
Bulk Quote Request Form
Name*:
Organization*:
Email*:
Phone Number*:
Catalog No.*:
Comments and Specifics(amount, formulation, etc.)*:
Validation code: Captchapackage Image


Can't read the image? click here to refresh.
    *required field

Your bulk quote request has been submitted successfully!

Please contact us if you have any questions.