• Tel: 858.663.9055
  • SeparatorEmail: info@nsjbio.com
  • Tel: 858.663.9055
  • Email: info@nsjbio.com
Home >> Antibodies >> GBX2 Antibody

GBX2 Antibody (R35273)

  Catalog No Formulation Size Price (USD)  
Image R35273-100UG 0.5 mg/ml in 1X TBS, pH7.3, with 0.5% BSA (US sourced) and 0.02% sodium azide 100 ug 475
Bulk quote request
Western blot testing of Jurkat cell lysate with GBX2 antibody at 0.1ug/ml. Predicted molecular weight ~37kDa.
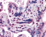
IHC staining of FFPE human placenta with GBX2 antibody at 3.8ug/ml. HIER: steamed with pH6 citrate buffer, AP-staining. Nuclear staining of trophoblasts is seen.
Availability 1-3 business days
Species Reactivity Human
Predicted Reactivity Cow, Dog, Mouse, Pig, Rat
Format Antigen affinity purified
Host Goat
Clonality Polyclonal (goat origin)
Isotype Goat Ig
Purity Antigen affinity
Gene ID 2637
Applications Western Blot : 0.1-0.3ug/ml
Immunohistochemistry (FFPE) : 4-8ug/ml
ELISA (peptide) LOD : 1:16000
Limitations This GBX2 antibody is available for research use only.
Review this product on BioCompare and get a $20 Amazon gift card

Related Products

Description

Additional name(s) for this target protein: Gastrulation brain homeobox 2

Application Notes

Optimal dilution of the GBX2 antibody should be determined by the researcher.

Immunogen

Amino acids QGKDESKVEDDPK were used as the immunogen for this GBX2 antibody.

Storage

Aliquot and store the GBX2 antibody at -20oC.

Cross
Bulk Quote Request Form
Name*:
Organization*:
Email*:
Phone Number*:
Catalog No.*:
Comments and Specifics(amount, formulation, etc.)*:
Validation code: Captchapackage Image


Can't read the image? click here to refresh.
    *required field

Your bulk quote request has been submitted successfully!

Please contact us if you have any questions.