• Tel: 858.663.9055
  • SeparatorEmail: info@nsjbio.com
  • Tel: 858.663.9055
  • Email: info@nsjbio.com
Home >> Antibodies >> GAS2 Antibody / Growth arrest-specific protein 2

GAS2 Antibody / Growth arrest-specific protein 2 (RQ6872)

  Catalog No Formulation Size Price (USD)  
Image RQ6872 0.5mg/ml if reconstituted with 0.2ml sterile DI water 100 ug 449
Bulk quote request
Flow cytometry testing of human Jurkat cells with GAS2 antibody at 1ug/million cells (blocked with goat sera); Red=cells alone, Green=isotype control, Blue= GAS2 antibody.
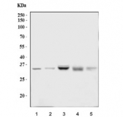
Western blot testing of 1) human Jurkat, 2) human HepG2, 3) rat liver, 4) mouse kidney and 5) mouse liver tissue lysate with GAS2 antibody. Predicted molecular weight ~35 kDa.
Availability 1-3 business days
Species Reactivity Human, Mouse, Rat
Format Antigen affinity purified
Host Rabbit
Clonality Polyclonal (rabbit origin)
Isotype Rabbit IgG
Purity Antigen affinity purified
Buffer Lyophilized from 1X PBS with 2% Trehalose
UniProt O43903
Applications Western Blot : 1-2ug/ml
Flow Cytometry : 1-3ug/million cells
Limitations This GAS2 antibody is available for research use only.
Review this product on BioCompare and get a $20 Amazon gift card

Related Products

Description

Growth arrest-specific protein 2 is a protein that in humans is encoded by the GAS2 gene. The protein encoded by this gene is a caspase-3 substrate that plays a role in regulating microfilament and cell shape changes during apoptosis. It can also modulate cell susceptibility to p53-dependent apoptosis by inhibiting calpain activity. Alternative splicing results in multiple transcript variants.

Application Notes

Optimal dilution of the GAS2 antibody should be determined by the researcher.

Immunogen

Amino acids HQYSQWLASRHEANLLPMKED from the human protein were used as the immunogen for the GAS2 antibody.

Storage

After reconstitution, the GAS2 antibody can be stored for up to one month at 4oC. For long-term, aliquot and store at -20oC. Avoid repeated freezing and thawing.

Cross
Bulk Quote Request Form
Name*:
Organization*:
Email*:
Phone Number*:
Catalog No.*:
Comments and Specifics(amount, formulation, etc.)*:
Validation code: Captchapackage Image


Can't read the image? click here to refresh.
    *required field

Your bulk quote request has been submitted successfully!

Please contact us if you have any questions.