• Tel: 858.663.9055
  • SeparatorEmail: info@nsjbio.com
  • Tel: 858.663.9055
  • Email: info@nsjbio.com
Home >> Antibodies >> GADD34 Antibody

GADD34 Antibody (R33103)

  Catalog No Formulation Size Price (USD)  
Image R33103-100UG 0.5 mg/ml in 1X TBS, pH7.3, with 0.5% BSA (US sourced) and 0.02% sodium azide 100 ug 475
Bulk quote request
Western blot testing of 1) HEPG2 cell lysate and 2) KLY negative control cell lysate with GADD34 antibody at 0.1ug/ml. Predicted molecular weight ~73 kDa, can be observed at up to ~110 kDa..
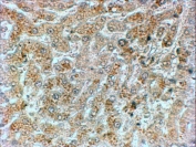
IHC staining of FFPE human liver with GADD34 antibody at 2ug/ml. HIER: steamed with pH6 citrate buffer, HRP-staining.
ICC/IF testing of fixed and permeabilized human HepG2 cells with GADD34 antibody (green) at 10ug/ml and DAPI nuclear stain (blue).
ICC/IF testing of fixed and permeabilized human HeLa cells with GADD34 antibody (green) at 10ug/ml and DAPI nuclear stain (blue).
FACS testing of fixed and permeabilized human HepG2 cells with GADD34 antibody (blue) at 10ug/10^6 cells and naive goat Ig (black).
Availability 1-3 business days
Species Reactivity Human
Format Antigen affinity purified
Host Goat
Clonality Polyclonal (goat origin)
Isotype Goat Ig
Purity Antigen affinity
Gene ID 23645
Localization Nuclear, cytoplasmic
Applications Western Blot : 0.1-0.3ug/ml
Immunohistochemistry (FFPE) : 2-4ug/ml
ICC/IF : 10ug/ml
Flow Cytometry : 10ug/10^6 cells in 0.2ml
ELISA (peptide) LOD : 1:128000
Limitations This GADD34 antibody is available for research use only.
Review this product on BioCompare and get a $20 Amazon gift card

Related Products

Description

Additional name(s) for this target protein: Growth arrest and DNA-damage-inducible 34; PPP1R15A

Application Notes

Optimal dilution of the GADD34 antibody should be determined by the researcher.

1. Not suitable for ICC/IF testing

Immunogen

Amino acids AAALDLSGRRG were used as the immunogen for this GADD34 antibody.

Storage

Aliquot and store the GADD34 antibody at -20oC.

Cross
Bulk Quote Request Form
Name*:
Organization*:
Email*:
Phone Number*:
Catalog No.*:
Comments and Specifics(amount, formulation, etc.)*:
Validation code: Captchapackage Image


Can't read the image? click here to refresh.
    *required field

Your bulk quote request has been submitted successfully!

Please contact us if you have any questions.