• Tel: 858.663.9055
  • SeparatorEmail: info@nsjbio.com
  • Tel: 858.663.9055
  • Email: info@nsjbio.com
Home >> Antibodies >> GAD65 Antibody / Synaptic GABA Marker Antibody

GAD65 Antibody / Synaptic GABA Marker Antibody [clone GAD2/2362] (V7506)

  Catalog No Formulation Size Price (USD)  
Image V7506-100UG 0.2 mg/ml in 1X PBS with 0.1 mg/ml BSA (US sourced) and 0.05% sodium azide 100 ug 559
Image
V7506-20UG 0.2 mg/ml in 1X PBS with 0.1 mg/ml BSA (US sourced) and 0.05% sodium azide 20 ug 259
Image
V7506SAF-100UG 1 mg/ml in 1X PBS; BSA free, sodium azide free 100 ug 559
Image
V7506IHC-7ML Prediluted in 1X PBS with 0.1 mg/ml BSA (US sourced) and 0.05% sodium azide; *For IHC use only* 7 ml 559
Microvalidated
Bulk quote request
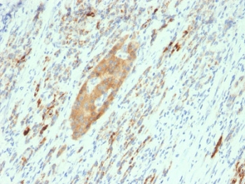
GAD65 Antibody Pancreas IHC. Immunohistochemistry analysis of FFPE human pancreas tissue stained with GAD65 Antibody demonstrates cytoplasmic HRP-DAB brown staining within scattered islet-associated endocrine cell populations, consistent with Glutamate decarboxylase 65 / GAD2 expression in inhibitory neurotransmitter-associated secretory cells. This synaptic GABA marker antibody highlights GABA synthesis-associated signaling pathways and neuroendocrine regulatory biology within pancreatic tissue. Required HIER: boil tissue sections in 10mM citrate buffer, pH 6, for 10-20 min and allow to cool prior to testing.
GAD65 Antibody HuProt Microarray Validation. Analysis of HuProt(TM) microarray containing more than 19,000 full-length human proteins using GAD65 Antibody demonstrates highly selective recognition of GAD65 / GAD2 with strong separation from non-target proteins across the tested human proteome. These results demonstrate the foremost specificity of the GAD2/2362 mAb and support highly specific detection of inhibitory neurotransmitter-associated signaling pathways and synaptic GABAergic neuronal markers. The Z-score represents the strength of antibody binding signal relative to the overall array mean, while the S-score reflects target specificity relative to the next highest ranked protein signal. The markedly elevated S-score separation observed for GAD2 supports preferential target recognition with minimal off-target binding across the tested human proteome.
SDS-PAGE analysis of purified, BSA-free GAD65 antibody (clone GAD2/2362) as confirmation of integrity and purity.
Availability 1-3 business days
Species Reactivity Human
Format Purified
Host Mouse
Clonality Monoclonal (mouse origin)
Isotype Mouse IgG2b, kappa
Clone Name GAD2/2362
Purity Protein G affinity chromatography
UniProt Q05329
Localization Cytoplasmic
Applications Immunohistochemistry (FFPE) : 0.1-0.2ug/ml for 30 min at RT
Limitations This GAD65 Antibody / Synaptic GABA Marker Antibody is available for research use only.
Review this product on BioCompare and get a $20 Amazon gift card

Related Products

Description

Glutamate decarboxylase 65 (GAD65), encoded by the GAD2 gene, is a pyridoxal phosphate-dependent enzyme responsible for synthesis of gamma-aminobutyric acid (GABA), the principal inhibitory neurotransmitter in the central nervous system. GAD65 localizes predominantly to presynaptic terminals and synaptic vesicle-associated compartments where it supports activity-dependent GABA production required for inhibitory neurotransmission and synaptic signaling regulation. GAD65 Antibody is useful for investigations involving inhibitory neurotransmitter biology, synaptic signaling pathways, neuronal differentiation, and GABAergic neural circuit organization.

GAD65 antibody, also referred to as GAD2 antibody and Glutamate decarboxylase 65 antibody in the literature, recognizes a membrane-associated neuronal enzyme encoded on chromosome 10p11.23. GAD65 is enriched within inhibitory interneurons and synaptic terminals throughout cortical, hippocampal, cerebellar, and subcortical neural tissues. Unlike GAD67, which supports constitutive GABA production, GAD65 is strongly associated with regulated synaptic neurotransmitter release and rapid inhibitory signaling responses. Altered GAD65 expression has been associated with epilepsy, autoimmune neurologic disease, type 1 diabetes-associated autoimmunity, neurodevelopmental disorders, and synaptic dysfunction-associated neurologic pathology.

GAD65 Antibody / Synaptic GABA Marker Antibody (clone GAD2/2362) is uniquely positioned for studies involving inhibitory synaptic signaling and GABAergic neurotransmission. This mouse monoclonal antibody demonstrates strong immunohistochemical detection together with highly selective HuProt(TM) microarray specificity validation against more than 19,000 full-length human proteins. The combined validation profile supports use of clone GAD2/2362 in investigations involving inhibitory synaptic organization, neurotransmitter-associated signaling pathways, and GABAergic neuronal differentiation.

Analysis of HuProt(TM) microarrays containing more than 19,000 individually purified full-length human proteins demonstrated highly selective recognition of GAD65/GAD2 by clone GAD2/2362. In HuProt(TM) analysis, the Z-score represents the strength of antibody binding signal relative to the overall array mean, while the S-score reflects target specificity relative to the next highest ranked protein signal. Elevated S-score separation supports preferential target recognition and reduced off-target binding across the tested human proteome. This specificity validation strategy supports highly selective detection of synaptic GABA-associated signaling pathways in complex neural tissues.

GAD65 contributes directly to inhibitory synaptic transmission through regulated GABA synthesis linked to synaptic vesicle cycling and neuronal activity-dependent neurotransmitter release. Because GAD65 expression is highly associated with inhibitory synapses and GABAergic neuronal populations, it serves as an important marker for studies involving inhibitory neural circuitry, synaptic neurotransmission, and interneuron-associated signaling pathways. GAD65 additionally represents a widely utilized marker in investigations involving neural autoantigens and synaptic dysfunction-associated disease biology.

This GAD65 Antibody supports research involving GABA synthesis, inhibitory synaptic signaling, interneuron differentiation, synaptic neurotransmission pathways, neural circuit organization, neurodevelopment-associated regulation, and GABAergic neuronal biology. Clone GAD2/2362 may be incorporated into immunohistochemistry and tissue-based investigations examining inhibitory neural signaling pathways in normal and diseased tissues.

Explore additional neural signaling and neurotransmitter pathway markers on our Signal Transduction Antibodies page, including antibodies targeting inhibitory neuronal differentiation, synaptic signaling, and neurodevelopment-associated cellular regulation.

Application Notes

Optimal dilution of the GAD65 Antibody / Synaptic GABA Marker Antibody should be determined by the researcher.

1. The prediluted format is supplied in a dropper bottle and is optimized for use in IHC. After epitope retrieval step (if required), drip mAb solution onto the tissue section and incubate at RT for 30 min.

Immunogen

A portion of amino acids 6-99 from the human protein were used as the immunogen for this GAD65 antibody.

Storage

Store the GAD65 antibody at 2-8oC (with azide) or aliquot and store at -20oC or colder (without azide).

Alternate Names

GAD65 antibody, GAD2 antibody, Glutamate decarboxylase 65 antibody, Synaptic GABA marker antibody, Gamma-aminobutyric acid synthesis enzyme antibody

Cross
Bulk Quote Request Form
Name*:
Organization*:
Email*:
Phone Number*:
Catalog No.*:
Comments and Specifics(amount, formulation, etc.)*:
Validation code: Captchapackage Image


Can't read the image? click here to refresh.
    *required field

Your bulk quote request has been submitted successfully!

Please contact us if you have any questions.