• Tel: 858.663.9055
  • SeparatorEmail: info@nsjbio.com
  • Tel: 858.663.9055
  • Email: info@nsjbio.com
Home >> Antibodies >> GAD65 Antibody / GAD2

GAD65 Antibody / GAD2 [clone GAD2/1960] (V3847)

  Catalog No Formulation Size Price (USD)  
Image V3847-100UG 0.2 mg/ml in 1X PBS with 0.1 mg/ml BSA (US sourced) and 0.05% sodium azide 100 ug 559
Image
V3847-20UG 0.2 mg/ml in 1X PBS with 0.1 mg/ml BSA (US sourced) and 0.05% sodium azide 20 ug 259
Image
V3847SAF-100UG 1 mg/ml in 1X PBS; BSA free, sodium azide free 100 ug 559
Microvalidated
Bulk quote request
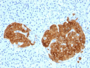
GAD65 Antibody Pancreas IHC. Immunohistochemistry testing of FFPE human pancreas with GAD65 antibody (clone GAD2/1960). Required HIER: boil tissue sections in 10mM citrate buffer, pH 6, for 10-20 min.
Analysis of HuProt(TM) microarray containing more than 19,000 full-length human proteins using GAD65 antibody (clone GAD2/1960). These results demonstrate the foremost specificity of the GAD2/1960 mAb.
Z- and S- score: The Z-score represents the strength of a signal that an antibody (in combination with a fluorescently-tagged anti-IgG secondary Ab) produces when binding to a particular protein on the HuProt(TM) array. Z-scores are described in units of standard deviations (SD's) above the mean value of all signals generated on that array. If the targets on the HuProt(TM) are arranged in descending order of the Z-score, the S-score is the difference (also in units of SD's) between the Z-scores. The S-score therefore represents the relative target specificity of an Ab to its intended target.
SDS-PAGE analysis of purified, BSA-free GAD65 antibody (clone GAD2/1960) as confirmation of integrity and purity.
Availability 1-3 business days
Species Reactivity Human
Format Purified
Host Mouse
Clonality Monoclonal (mouse origin)
Isotype Mouse IgG2b, kappa
Clone Name GAD2/1960
Purity Protein G affinity chromatography
UniProt Q05329
Localization Cytoplasmic
Applications Immunohistochemistry (FFPE) : 0.1-0.2ug/ml for 30 min at RT
Limitations This GAD65 antibody is available for research use only.
Review this product on BioCompare and get a $20 Amazon gift card

Related Products

Description

This mAb recognizes a protein of 65kDa, which is identified as glutamic acid decarboxylase 2 (GDA2). It is responsible for catalyzing the production of gamma-aminobutyric acid from L-glutamic acid. There are two forms of glutamic acid decarboxylases (GADs) that are found in the brain: GAD2 (also known as GAD65) and GAD1 (also known as GAD67). GAD1 and GAD2 are members of the group II decarboxylase family of proteins and are responsible for catalyzing the rate-limiting step in the production of GABA (gamma-aminobutyric acid) from L-glutamic acid. Although both GAD s are found in the brain, GAD2 localizes to synaptic vesicle membranes in nerve terminals, while GAD1 is distributed throughout the cell. A pathogenic role for GAD2 is identified in the human pancreas since it has been identified as an autoantibody and an auto-reactive T cell target in insulin-dependent diabetes.

For highly specific detection of GAD65 in inhibitory synaptic signaling studies, see our GAD65 Antibody / Synaptic GABA Marker Antibody page featuring clone GAD2/2362 with strong HuProt(TM) microarray specificity validation data.

Application Notes

Optimal dilution of the GAD65 antibody should be determined by the researcher.

Immunogen

A portion of amino acids 6-99 from the human protein were used as the immunogen for this GAD65 antibody.

Storage

Store the GAD65 antibody at 2-8oC (with azide) or aliquot and store at -20oC or colder (without azide).

Cross
Bulk Quote Request Form
Name*:
Organization*:
Email*:
Phone Number*:
Catalog No.*:
Comments and Specifics(amount, formulation, etc.)*:
Validation code: Captchapackage Image


Can't read the image? click here to refresh.
    *required field

Your bulk quote request has been submitted successfully!

Please contact us if you have any questions.