• Tel: 858.663.9055
  • SeparatorEmail: info@nsjbio.com
  • Tel: 858.663.9055
  • Email: info@nsjbio.com
Home >> Antibodies >> FSH beta Antibody

FSH beta Antibody (R31531)

  Catalog No Formulation Size Price (USD)  
Image R31531 0.5mg/ml if reconstituted with 0.2ml sterile DI water 100 ug 449
Bulk quote request
Western blot testing of FSH beta antibody and recombinant human protein (0.5ng)
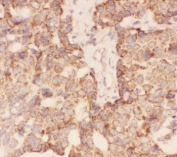
FSH beta Antibody Breast Cancer Immunohistochemistry. IHC-P: FSH beta antibody testing of human breast cancer tissue.
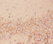
FSH beta Antibody Mouse Brain Immunohistochemistry. IHC-P: FSH beta antibody testing of mouse brain tissue.
Availability 1-3 business days
Species Reactivity Human, Mouse
Format Antigen affinity purified
Host Rabbit
Clonality Polyclonal (rabbit origin)
Isotype Rabbit IgG
Purity Antigen affinity
Buffer Lyophilized from 1X PBS with 2.5% BSA and 0.025% sodium azide
Gene ID 2488
Applications Western Blot : 0.5-1ug/ml
IHC (FFPE) : 0.5-1ug/ml
Limitations This FSH beta antibody is available for research use only.
Review this product on BioCompare and get a $20 Amazon gift card

Related Products

Description

FSH beta Antibody specifically detects Follitropin subunit beta, a protein that in humans is encoded by the FSHB gene. FSH beta enables ovarian folliculogenesis to the antral follicle stage and is essential for Sertoli cell proliferation and maintenance of sperm quality in the testis. It can stimulate development of follicle and spermatogenesis in the reproductive organs.

For additional reproductive hormone and pituitary signaling research antibodies targeting gonadotroph markers and endocrine-associated cellular pathways, explore the broader FSHB Antibody page featuring monoclonal clone FLTPb-1.

Application Notes

The stated application concentrations are suggested starting amounts. Titration of the FSH beta antibody may be required due to differences in protocols and secondary/substrate sensitivity.

Immunogen

Human partial recombinant protein (AA 19-129) was used as the immunogen for this FSH beta antibody.

Storage

After reconstitution, the FSH beta antibody can be stored for up to one month at 4oC. For long-term, aliquot and store at -20oC. Avoid repeated freezing and thawing.

Cross
Bulk Quote Request Form
Name*:
Organization*:
Email*:
Phone Number*:
Catalog No.*:
Comments and Specifics(amount, formulation, etc.)*:
Validation code: Captchapackage Image


Can't read the image? click here to refresh.
    *required field

Your bulk quote request has been submitted successfully!

Please contact us if you have any questions.