• Tel: 858.663.9055
  • SeparatorEmail: info@nsjbio.com
  • Tel: 858.663.9055
  • Email: info@nsjbio.com
Home >> Antibodies >> FSH-beta Antibody

FSH-beta Antibody [clone FSHb/1062] (V2509)

  Catalog No Formulation Size Price (USD)  
Image V2509-100UG 0.2 mg/ml in 1X PBS with 0.1 mg/ml BSA (US sourced) and 0.05% sodium azide 100 ug 559
Image
V2509-20UG 0.2 mg/ml in 1X PBS with 0.1 mg/ml BSA (US sourced) and 0.05% sodium azide 20 ug 259
Image
V2509SAF-100UG 1 mg/ml in 1X PBS; BSA free, sodium azide free 100 ug 559
Image
V2509IHC-7ML Prediluted in 1X PBS with 0.1 mg/ml BSA (US sourced) and 0.05% sodium azide; *For IHC use only* 7 ml 559
Bulk quote request
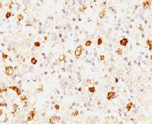
FSHB Antibody Anterior Pituitary IHC. Immunohistochemistry staining of formalin-fixed, paraffin-embedded human pituitary tissue using monoclonal clone FSHb/1062 demonstrates distinct granular cytoplasmic HRP-DAB brown staining in scattered hormone-producing anterior pituitary endocrine cells, consistent with follicle stimulating hormone beta / FSHB expression in gonadotroph-associated cellular populations.
SDS-PAGE Analysis of Purified, BSA-Free FSH-beta Antibody (clone FSHb/1062). Confirmation of Integrity and Purity of the Antibody.
Availability 1-3 business days
Species Reactivity Human
Format Purified
Host Mouse
Clonality Monoclonal (mouse origin)
Isotype Mouse IgG1, kappa
Clone Name FSHb/1062
Purity Protein G affinity chromatography
UniProt P01225
Localization Cytoplasmic, secreted
Applications Immunohistochemistry (FFPE) : 1-2ug/ml for 30 min at RT (1) (2)
Limitations This FSH-beta antibody is available for research use only.
Review this product on BioCompare and get a $20 Amazon gift card

Related Products

Description

FSH-beta Antibody reacts with a protein of 22 kDa, identified as beta sub-unit of FSH. It does not cross react with the alpha sub-unit. Follicle stimulating hormone (FSH) is a hormone synthesized and secreted by gonadotrophs in the anterior pituitary gland. In the ovary, FSH stimulates the growth of immature Graafian follicles to maturation. As the follicle grows, it releases inhibin, which deactivates the FSH production. In men, FSH enhances the production of androgen-binding protein by the Sertoli cells of the testis and is critical for spermatogenesis. FSH and LH act synergistically in reproduction. FSH is a useful marker in the classification of pituitary tumors and the study of pituitary disease.

For additional reproductive hormone and pituitary signaling research antibodies targeting gonadotroph markers and endocrine-associated cellular pathways, explore the broader FSHB Antibody page featuring monoclonal clone FLTPb-1.

Application Notes

Optimal dilution of the FSH-beta antibody should be determined by the researcher.

1. Staining of formalin-fixed tissues requires boiling tissue sections in pH 9 10mM Tris with 1mM EDTA for 10-20 min followed by cooling at RT for 20 minutes.
2. The prediluted format is supplied in a dropper bottle and is optimized for use in IHC. After epitope retrieval step (if required), drip mAb solution onto the tissue section and incubate at RT for 30 min.

Immunogen

Recombinant hFSH beta sub-unit was used as the immunogen for the FSH-beta antibody.

Storage

Store the FSH-beta antibody at 2-8oC (with azide) or aliquot and store at -20oC or colder (without azide).

Cross
Bulk Quote Request Form
Name*:
Organization*:
Email*:
Phone Number*:
Catalog No.*:
Comments and Specifics(amount, formulation, etc.)*:
Validation code: Captchapackage Image


Can't read the image? click here to refresh.
    *required field

Your bulk quote request has been submitted successfully!

Please contact us if you have any questions.