• Tel: 858.663.9055
  • SeparatorEmail: info@nsjbio.com
  • Tel: 858.663.9055
  • Email: info@nsjbio.com
Home >> Antibodies >> FOXF1 Antibody / Forkhead box F1

FOXF1 Antibody / Forkhead box F1 [clone 24F27] (RQ8905)

  Catalog No Formulation Size Price (USD)  
Image RQ8905 Antibody in PBS with 0.02% sodium azide, 50% glycerol and 0.4-0.5mg/ml BSA 100 ul 449
Microvalidated Recrabbitmono
Bulk quote request
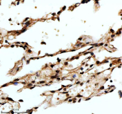
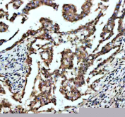
IHC staining of FFPE human placental tissue with FOXF1 antibody, HRP-secondary and DAB substrate. HIER: boil tissue sections in pH8 EDTA for 20 min and allow to cool before testing.
IHC staining of FFPE human lung tissue with FOXF1 antibody, HRP-secondary and DAB substrate. HIER: boil tissue sections in pH8 EDTA for 20 min and allow to cool before testing.
IHC staining of FFPE human lung cancer tissue with FOXF1 antibody, HRP-secondary and DAB substrate. HIER: boil tissue sections in pH8 EDTA for 20 min and allow to cool before testing.
Western blot testing of human HeLa cell lysate with FOXF1 antibody. Predicted molecular weight ~40 kDa.
Availability 1-3 days
Species Reactivity Human
Format Purified
Host Rabbit
Clonality Recombinant Rabbit Monoclonal
Isotype Rabbit IgG
Clone Name 24F27
Purity Affinity chromatography
UniProt Q12946
Localization Nuclear
Applications Western Blot : 1:1000
Immunohistochemistry (FFPE) : 1:50
Limitations This FOXF1 antibody is available for research use only.
Review this product on BioCompare and get a $20 Amazon gift card

Related Products

  • Applications : WB, ELISA (peptide)
    Reactivity : Human, Mouse
    Pred. Reactivity : Cow, Dog

Description

Forkhead box F1 (FOXF1) is a transcription factor belonging to the forkhead family, characterized by a conserved DNA-binding forkhead domain. It plays a crucial role in embryonic development, particularly in the formation of the lungs, gastrointestinal tract, and vasculature. FOXF1 regulates gene expression programs essential for mesenchymal cell differentiation and organogenesis.

Mutations or altered expression of FOXF1 have been linked to developmental disorders, such as alveolar capillary dysplasia with misalignment of pulmonary veins, and may also contribute to cancer progression. Research on FOXF1 provides valuable insight into tissue morphogenesis, angiogenesis, and disease mechanisms.

Using a high-quality FOXF1 antibody enables precise detection in applications such as western blot, immunohistochemistry, and immunofluorescence. A FOXF1 antibody from NSJ Bioreagents ensures sensitivity and reproducibility for studies in developmental biology, transcriptional regulation, and pathology. Selecting the right FOXF1 antibody is key to generating consistent and meaningful experimental results.

Application Notes

Optimal dilution of the FOXF1 antibody should be determined by the researcher.

Immunogen

A peptide sequence specific to CAMK II protein was used as the immunogen for the FOXF1 antibody.

Storage

After reconstitution, the FOXF1 antibody can be stored for up to one month at 4oC. For long-term, aliquot and store at -20oC. Avoid repeated freezing and thawing.

Cross
Bulk Quote Request Form
Name*:
Organization*:
Email*:
Phone Number*:
Catalog No.*:
Comments and Specifics(amount, formulation, etc.)*:
Validation code: Captchapackage Image


Can't read the image? click here to refresh.
    *required field

Your bulk quote request has been submitted successfully!

Please contact us if you have any questions.