• Tel: 858.663.9055
  • SeparatorEmail: info@nsjbio.com
  • Tel: 858.663.9055
  • Email: info@nsjbio.com
Home >> Antibodies >> FOXA1 Antibody

FOXA1 Antibody [clone FOXA1/1512] (V3292)

  Catalog No Formulation Size Price (USD)  
Image V3292-100UG 0.2 mg/ml in 1X PBS with 0.1 mg/ml BSA (US sourced) and 0.05% sodium azide 100 ug 559
Image
V3292-20UG 0.2 mg/ml in 1X PBS with 0.1 mg/ml BSA (US sourced) and 0.05% sodium azide 20 ug 259
Image
V3292SAF-100UG 1 mg/ml in 1X PBS; BSA free, sodium azide free 100 ug 559
Bulk quote request
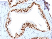
IHC testing of FFPE human prostate carcinoma with FOXA1 antibody (clone FOXA1/1512). HIER: boil sections in 10mM Tris with 1mM EDTA, pH9, for 10-20 min.
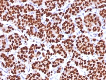
IHC testing of FFPE human prostate with FOXA1 antibody (clone FOXA1/1512). HIER: boil sections in 10mM Tris with 1mM EDTA, pH9, for 10-20 min.
Western blot testing of human 1) MCF7 (breast) and 2) PC3 (prostate) cell lysate with FOXA1 antibody (clone FOXA1/1512). Predicted molecular weight: ~49 kDa.
Western blot testing of human HeLa cell lysate with FOXA1 antibody (clone FOXA1/1512). Predicted molecular weight: ~49 kDa.
Immunofluorescent staining of PFA-fixed human MCF7 cells with FOXA1 antibody (clone FOXA1/1512, green) and Phalloiden (red).
FACS testing of PFA-fixed human MCF-7 cells with FOXA1 antibody (clone FOXA1/1512); Red=isotype control, Blue= FOXA1 antibody.
SDS-PAGE Analysis of Purified, BSA-Free FOXA1 Antibody (clone FOXA1/1512). Confirmation of Integrity and Purity of the Antibody.
Species Reactivity Human
Format Purified
Host Mouse
Clonality Monoclonal (mouse origin)
Isotype Mouse IgG1, kappa
Clone Name FOXA1/1512
Purity Protein G affinity chromatography
Buffer 1X PBS, pH 7.4
UniProt P55317
Gene ID 3169
Localization Nuclear
Applications Flow Cytometry : 0.5-1ug/10^6 cells
Immunofluorescence : 0.5-1ug/ml
Western Blot : 0.5-1ug/ml
Immunohistochemistry (FFPE) : 1-2ug/ml for 30 min at RT
Limitations This FOXA1 antibody is available for research use only.
Review this product on BioCompare and get a $20 Amazon gift card

Related Products

Description

FOXA1 is a member of the forkhead class of DNA-binding proteins. These hepatocyte nuclear factors are transcriptional activators for liver-specific transcripts such as albumin and transthyretin, and they also interact with chromatin as a pioneer factor. Similar family members in mice have roles in the regulation of metabolism and in the differentiation of the pancreas and liver.

FOXA1 in breast cancer is highly correlated with ERα+, GATA3+, and PR+ protein expression as well as endocrine signaling. FOXA1 acts as a pioneer factor for ERa in ERα+ breast cancer, and its expression might identify ERα+ cancers that undergo rapid reprogramming of ERa signaling that is associated with poor outcomes and treatment resistance. Conversely, in ERα− breast cancer FOXA1 is highly correlated with low-grade morphology and improved disease free survival. FOXA1 is a downstream target of GATA3 in the mammary gland. Expression in ERα− cancers may identify a subset of tumors that is responsive to other endocrine therapies such as androgen receptor antagonist treatment. [Wiki]

Application Notes

Optimal dilution of the FOXA1 antibody should be determined by the researcher.

Immunogen

A human partial recombinant protein corresponding to amino acids 372-472 was used as the immunogen for this FOXA1 antibody.

Storage

Store the FOXA1 antibody at 2-8oC (with azide) or aliquot and store at -20oC or colder (without azide).

Cross
Bulk Quote Request Form
Name*:
Organization*:
Email*:
Phone Number*:
Catalog No.*:
Comments and Specifics(amount, formulation, etc.)*:
Validation code: Captchapackage Image


Can't read the image? click here to refresh.
    *required field

Your bulk quote request has been submitted successfully!

Please contact us if you have any questions.