• Tel: 858.663.9055
  • SeparatorEmail: info@nsjbio.com
  • Tel: 858.663.9055
  • Email: info@nsjbio.com
Home >> Antibodies >> FKBP10 Antibody

FKBP10 Antibody (F54923)

  Catalog No Formulation Size Price (USD)  
Image F54923-0.4ML In 1X PBS, pH 7.4, with 0.09% sodium azide 0.4 ml 439
Image
F54923-0.08ML In 1X PBS, pH 7.4, with 0.09% sodium azide 0.08 ml 205
Bulk quote request
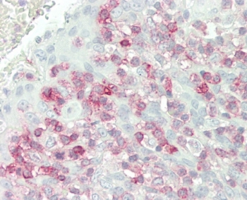
IHC testing of FFPE human tonsil tissue with FKBP10 antibody. HIER: steam section in pH6 citrate buffer for 20 min and allow to cool prior to staining.
IHC testing of FFPE human kidney tissue with FKBP10 antibody. HIER: steam section in pH6 citrate buffer for 20 min and allow to cool prior to staining.
Western blot testing of human 1) A2058 and 2) A375 cell lysate with FKBP10 antibody. Expected molecular weight: 64-78 kDa.
Flow cytometry testing of human A2058 cells with FKBP10 antibody; Blue=isotype control, Green= FKBP10 antibody.
Availability 1-3 business days
Species Reactivity Human
Format Purified
Host Rabbit
Clonality Polyclonal (rabbit origin)
Isotype Rabbit Ig
Purity Purified
UniProt Q96AY3
Localization Cytoplasmic
Applications Flow Cytometry : 1:10-1:50 (1x10e6 cells)
Immunohistochemistry (FFPE) : 1:50-1:100
Western Blot : 1:500-1:1000
Limitations This FKBP10 antibody is available for research use only.
Review this product on BioCompare and get a $20 Amazon gift card

Related Products

  • Applications : WB, IF, FACS, Direct ELISA
    Reactivity : Human

Description

The protein belongs to the FKBP-type peptidyl-prolyl cis/trans isomerase family. It is located in endoplasmic reticulum and acts as molecular chaperones.

Application Notes

The stated application concentrations are suggested starting points. Titration of the FKBP10 antibody may be required due to differences in protocols and secondary/substrate sensitivity.

Immunogen

A portion of amino acids 552-580 from the human protein was used as the immunogen for the FKBP10 antibody.

Storage

Aliquot the FKBP10 antibody and store frozen at -20oC or colder. Avoid repeated freeze-thaw cycles.

Cross
Bulk Quote Request Form
Name*:
Organization*:
Email*:
Phone Number*:
Catalog No.*:
Comments and Specifics(amount, formulation, etc.)*:
Validation code: Captchapackage Image


Can't read the image? click here to refresh.
    *required field

Your bulk quote request has been submitted successfully!

Please contact us if you have any questions.