• Tel: 858.663.9055
  • SeparatorEmail: info@nsjbio.com
  • Tel: 858.663.9055
  • Email: info@nsjbio.com
Home >> Antibodies >> Filaggrin Antibody

Filaggrin Antibody [clone FLG/1945] (V3841)

  Catalog No Formulation Size Price (USD)  
Image V3841-100UG 0.2 mg/ml in 1X PBS with 0.1 mg/ml BSA (US sourced) and 0.05% sodium azide 100 ug 559
Image
V3841-20UG 0.2 mg/ml in 1X PBS with 0.1 mg/ml BSA (US sourced) and 0.05% sodium azide 20 ug 259
Image
V3841SAF-100UG 1 mg/ml in 1X PBS; BSA free, sodium azide free 100 ug 559
Microvalidated
Bulk quote request
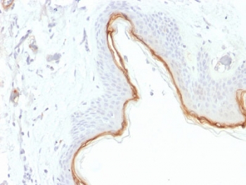
Filaggrin Antibody Epidermal Barrier IHC. Immunohistochemistry testing of FFPE human skin with Filaggrin antibody (clone FLG/1945). Required HIER: boil tissue sections in 10mM citrate buffer, pH 6, for 10-20 min.
Analysis of HuProt(TM) microarray containing more than 19,000 full-length human proteins using Filaggrin antibody (clone FLG/1945). These results demonstrate the foremost specificity of the FLG/1945 mAb.
Z- and S- score: The Z-score represents the strength of a signal that an antibody (in combination with a fluorescently-tagged anti-IgG secondary Ab) produces when binding to a particular protein on the HuProt(TM) array. Z-scores are described in units of standard deviations (SD's) above the mean value of all signals generated on that array. If the targets on the HuProt(TM) are arranged in descending order of the Z-score, the S-score is the difference (also in units of SD's) between the Z-scores. The S-score therefore represents the relative target specificity of an Ab to its intended target.
SDS-PAGE analysis of purified, BSA-free Filaggrin antibody (clone FLG/1945) as confirmation of integrity and purity.
Availability 1-3 business days
Species Reactivity Human
Format Purified
Host Mouse
Clonality Monoclonal (mouse origin)
Isotype Mouse IgG2b, kappa
Clone Name FLG/1945
Purity Protein G affinity chromatography
UniProt P20930
Localization Cytoplasmic
Applications Immunohistochemistry (FFPE) : 0.5-1ug/ml for 30 min at RT
Limitations This Filaggrin antibody is available for research use only.
Review this product on BioCompare and get a $20 Amazon gift card

Related Products

Description

Filaggrin (FLG) is an intermediate filament-associated protein that aggregates keratin intermediate filaments in mammalian epidermis. It is initially synthesized as a polyprotein precursor, profilaggrin (consisting of multiple Filaggrin units of 324 aa each), which is localized in keratohyalin granules, and is subsequently proteolytically processed into individual functional Filaggrin molecules. Active Filaggrin is present at a level of the epidermis where keratinocytes are in transition between the live nucleated granular layer and the anucleate cornified layer, suggesting that filaggrin aids in the terminal differentiation process by facilitating apoptotic machinery.

Explore our Filaggrin Antibody / Epidermal Differentiation Marker page for additional validation data and research applications involving keratinocyte maturation, epithelial barrier biology, and dermatopathology-associated signaling pathways.

Application Notes

Optimal dilution of the Filaggrin antibody should be determined by the researcher.

Immunogen

A portion of amino acids 998-1104 from the human protein were used as the immunogen for this Filaggrin antibody.

Storage

Store the Filaggrin antibody at 2-8oC (with azide) or aliquot and store at -20oC or colder (without azide).

Cross
Bulk Quote Request Form
Name*:
Organization*:
Email*:
Phone Number*:
Catalog No.*:
Comments and Specifics(amount, formulation, etc.)*:
Validation code: Captchapackage Image


Can't read the image? click here to refresh.
    *required field

Your bulk quote request has been submitted successfully!

Please contact us if you have any questions.