• Tel: 858.663.9055
  • SeparatorEmail: info@nsjbio.com
  • Tel: 858.663.9055
  • Email: info@nsjbio.com
Home >> Antibodies >> Fibronectin Antibody

Fibronectin Antibody [clone EID-6] (RQ5007)

  Catalog No Formulation Size Price (USD)  
Image RQ5007 Antibody in PBS with 0.02% sodium azide, 50% glycerol and 0.4-0.5mg/ml BSA 100 ul 449
Microvalidated Rab Mono Image
Bulk quote request
Fibronectin Antibody HepG2 Cell WB. Western blot testing of human HepG2 cell lysate with Fibronectin antibody. Predicted molecular weight ~220 kDa (monomer) but may be observed at a higher molecular weight due to glycosylation.
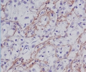
Fibronectin Antibody Liver Cancer IHC. Immunohistochemistry staining of FFPE human liver cancer tissue with Fibronectin antibody. HIER: boil tissue sections in pH8 EDTA for 20 min and allow to cool before testing.
Availability 1-2 weeks
Species Reactivity Human
Format Purified
Host Rabbit
Clonality Rabbit Monoclonal
Isotype Rabbit IgG
Clone Name EID-6
Purity Affinity purified
UniProt P02751
Applications Western Blot : 1:500-1:2000
Immunohistochemistry (FFPE) : 1:50-1:200
Limitations This Fibronectin antibody is available for research use only.
Review this product on BioCompare and get a $20 Amazon gift card

Related Products

Description

Fibronectins bind cell surfaces and various compounds including collagen, fibrin, heparin, DNA, and actin. Fibronectins are involved in cell adhesion, cell motility, opsonization, wound healing, and maintenance of cell shape. [UniProt]

Researchers investigating extracellular matrix remodeling, stromal organization, and integrin-mediated adhesion pathways may also be interested in our Fibronectin 1 Antibody / Extracellular Matrix Marker page featuring validated immunohistochemistry, western blot, and protein microarray specificity data for ECM biology research.

Application Notes

Optimal dilution of the Fibronectin antibody should be determined by the researcher.

Immunogen

A synthetic peptide specific to human Fibronectin / FN1 was used as the immunogen for the Fibronectin antibody.

Storage

Store the Fibronectin antibody at -20oC.

Cross
Bulk Quote Request Form
Name*:
Organization*:
Email*:
Phone Number*:
Catalog No.*:
Comments and Specifics(amount, formulation, etc.)*:
Validation code: Captchapackage Image


Can't read the image? click here to refresh.
    *required field

Your bulk quote request has been submitted successfully!

Please contact us if you have any questions.