- Tel: 858.663.9055
- 
									 Email: info@nsjbio.com Email: info@nsjbio.com
- Tel: 858.663.9055
- Email: info@nsjbio.com
 Email: info@nsjbio.com
Email: info@nsjbio.com
								Related Products
| 
 | 
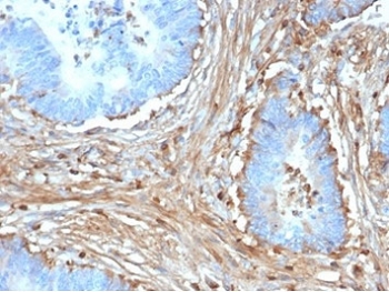
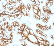
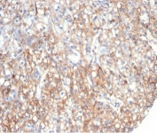
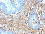
Fibrillin-1 / FBN1 is an extracellular matrix glycoprotein that serves as a structural component of calcium-binding microfibrils. These microfibrils provide force-bearing structural support in elastic and non-elastic connective tissue throughout the body. Mutations in this gene are associated with Marfan syndrome.
Optimal dilution of the Fibrillin-1 antibody should be determined by the researcher.
A portion of amino acids 330-476 was used as the immunogen for the Fibrillin-1 antibody.
Aliquot the Fibrillin-1 antibody and store frozen at -20oC or colder. Avoid repeated freeze-thaw cycles.
 
Your bulk quote request has been submitted successfully!
Please contact us if you have any questions.