• Tel: 858.663.9055
  • SeparatorEmail: info@nsjbio.com
  • Tel: 858.663.9055
  • Email: info@nsjbio.com
Home >> Antibodies >> FGF2 Antibody

FGF2 Antibody (RQ4569)

  Catalog No Formulation Size Price (USD)  
Image RQ4569 0.5mg/ml if reconstituted with 0.2ml sterile DI water 100 ug 449
Bulk quote request
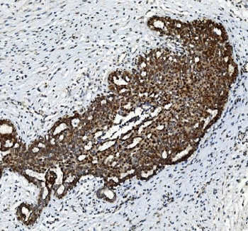
IHC staining of FFPE human breast cancer tissue with FGF2 antibody. HIER: boil tissue sections in pH8 EDTA for 20 min and allow to cool before testing.
Immunofluorescent staining of FFPE human A431 cells with FGF2 antibody. HIER: steam section in pH6 citrate buffer for 20 min.
Western blot testing of human 1) SK-OV-3 and 2) HeLa cell lysate with FGF2 antibody. Predicted molecular weight: 17-31 kDa (multiple isoforms).
Availability 1-3 business days
Species Reactivity Human
Format Antigen affinity purified
Host Rabbit
Clonality Polyclonal (rabbit origin)
Isotype Rabbit IgG
Purity Antigen affinity purified
Buffer Lyophilized from 1X PBS with 2% Trehalose and 0.025% sodium azide
UniProt P09038
Localization Nucleus, Cytoplasm
Applications Western Blot : 0.5-1ug/ml
Immunohistochemistry (FFPE) : 2-5ug/ml
Immunofluorescence : 5ug/ml
ELISA (Capture) : 1-5ug/ml (human recombinant protein)
Limitations This FGF2 antibody is available for research use only.
Review this product on BioCompare and get a $20 Amazon gift card

Related Products

Description

FGF2 has been implicated in a multitude of physiologic and pathologic processes, including limb development, angiogenesis, wound healing, and tumor growth. Human FGF2 shares 96% and 97% amino acid sequence homology with mouse and rat respectively. FGF2 belongs to the fibroblast growth factor (FGF) family. Fibroblast growth factors (FGFs) exhibit widespread mitogenic and neurotrophic activities. Nine members of the family are currently known, and FGF-1 and FGF-2 are present in relatively high levels in CNS. FGF-2 is expressed by at low levels in many tissues and cell types and reaches high concentrations in brain and pituitary.

Application Notes

Optimal dilution of the FGF2 antibody should be determined by the researcher.

Immunogen

Amino acids P143-S288 from the human protein were used as the immunogen for the FGF2 antibody.

Storage

After reconstitution, the FGF2 antibody can be stored for up to one month at 4oC. For long-term, aliquot and store at -20oC. Avoid repeated freezing and thawing.

Cross
Bulk Quote Request Form
Name*:
Organization*:
Email*:
Phone Number*:
Catalog No.*:
Comments and Specifics(amount, formulation, etc.)*:
Validation code: Captchapackage Image


Can't read the image? click here to refresh.
    *required field

Your bulk quote request has been submitted successfully!

Please contact us if you have any questions.