- Tel: 858.663.9055
- 
									 Email: info@nsjbio.com Email: info@nsjbio.com
- Tel: 858.663.9055
- Email: info@nsjbio.com
 Email: info@nsjbio.com
Email: info@nsjbio.com
								Related Products
| 
 | 
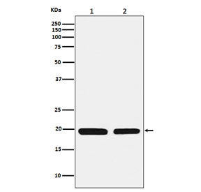
Stores iron in a soluble, non-toxic, readily available form. Important for iron homeostasis. Iron is taken up in the ferrous form and deposited as ferric hydroxides after oxidation. Also plays a role in delivery of iron to cells. Mediates iron uptake in capsule cells of the developing kidney. [UniProt]
Optimal dilution of the Ferritin Light Chain antibody should be determined by the researcher.
A synthetic peptide specific to human Ferritin Light Chain / FTL was used as the immunogen for the Ferritin Light Chain antibody.
Store the Ferritin Light Chain antibody at -20oC.
 
Your bulk quote request has been submitted successfully!
Please contact us if you have any questions.