• Tel: 858.663.9055
  • SeparatorEmail: info@nsjbio.com
  • Tel: 858.663.9055
  • Email: info@nsjbio.com
Home >> Antibodies >> FCER1A Antibody

FCER1A Antibody (R36178)

  Catalog No Formulation Size Price (USD)  
Image R36178-100UG 0.5 mg/ml in 1X TBS, pH7.3, with 0.5% BSA (US sourced) and 0.02% sodium azide 100 ug 475
Bulk quote request
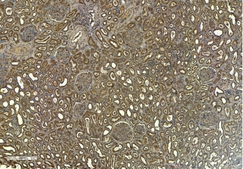
IHC staining of FFPE human kidney tissue with FCER1A antibody at 6ug/ml. Required HIER: steamed antigen retrieval with pH6 citrate buffer; HRP-staining.
Negative control: IHC staining of FFPE human kidney tissue without primary antibody. HIER: steamed with pH6 citrate buffer, HRP-staining.
Availability 1-3 business days
Species Reactivity Human
Format Antigen affinity purified
Host Goat
Clonality Polyclonal (goat origin)
Isotype Goat Ig
Purity Antigen affinity
Gene ID 2205
Applications Immunohistochemistry (FFPE) : 6ug/ml
ELISA (peptide) LOD : 1:128000
Limitations This FCER1A antibody is available for research use only.
Review this product on BioCompare and get a $20 Amazon gift card

Description

Additional name(s) for this target protein: Fc fragment of IgE, high affinity I, receptor for antibody, alpha polypeptide

Application Notes

Optimal dilution of the FCER1A antibody should be determined by the researcher.

Immunogen

Amino acids TGKVWQLDYESEP were used as the immunogen for this FCER1A antibody.

Storage

Aliquot and store the FCER1A antibody at -20oC.

Cross
Bulk Quote Request Form
Name*:
Organization*:
Email*:
Phone Number*:
Catalog No.*:
Comments and Specifics(amount, formulation, etc.)*:
Validation code: Captchapackage Image


Can't read the image? click here to refresh.
    *required field

Your bulk quote request has been submitted successfully!

Please contact us if you have any questions.