• Tel: 858.663.9055
  • SeparatorEmail: info@nsjbio.com
  • Tel: 858.663.9055
  • Email: info@nsjbio.com
Home >> Antibodies >> FBXL2 Antibody

FBXL2 Antibody (R36328)

  Catalog No Formulation Size Price (USD)  
Image R36328-100UG 0.5 mg/ml in 1X TBS, pH7.3, with 0.5% BSA (US sourced) and 0.02% sodium azide 100 ug 475
Bulk quote request
Western blot testing of human brain lysates with FBXL2 antibody at 0.3ug/ml. Predicted molecular weight: ~47kDa.
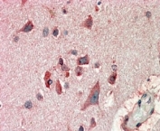
IHC staining of FFPE human cerebral cortex with FBXL2 antibody at 10ug/ml. HIER: steamed with pH6 citrate buffer, AP-staining.
Western blot testing of 1) human frontal cortex and 2) rat brain lysates with FBXL2 antibody at 0.3ug/ml. Predicted molecular weight: ~47kDa.
Availability 1-3 business days
Species Reactivity Human, Rat
Predicted Reactivity Cow, Dog
Format Antigen affinity purified
Host Goat
Clonality Polyclonal (goat origin)
Isotype Goat Ig
Purity Antigen affinity
Gene ID 25827
Applications Western Blot : 0.3-1ug/ml
Immunohistochemistry (FFPE) : 5-10ug/ml
ELISA (peptide) LOD : 1:32000
Limitations This FBXL2 antibody is available for research use only.
Review this product on BioCompare and get a $20 Amazon gift card

Description

Additional name(s) for this target protein: F-box and leucine-rich repeat protein 2

Application Notes

Optimal dilution of the FBXL2 antibody should be determined by the researcher.

Immunogen

Amino acids VFSNNDEGLINKK were used as the immunogen for this FBXL2 antibody.

Storage

Aliquot and store the FBXL2 antibody at -20oC.

Cross
Bulk Quote Request Form
Name*:
Organization*:
Email*:
Phone Number*:
Catalog No.*:
Comments and Specifics(amount, formulation, etc.)*:
Validation code: Captchapackage Image


Can't read the image? click here to refresh.
    *required field

Your bulk quote request has been submitted successfully!

Please contact us if you have any questions.