• Tel: 858.663.9055
  • SeparatorEmail: info@nsjbio.com
  • Tel: 858.663.9055
  • Email: info@nsjbio.com
Home >> Antibodies >> FAM62A Antibody

FAM62A Antibody (R35330)

  Catalog No Formulation Size Price (USD)  
Image R35330-100UG 0.5 mg/ml in 1X TBS, pH7.3, with 0.5% BSA (US sourced) and 0.02% sodium azide 100 ug 475
Bulk quote request
Western blot testing of human adipose lysate with FAM62A antibody at 0.5ug/ml. Predicted molecular weight: ~123 kDa, observed here at ~150 kDa.
Western blot of HEK293 lysate overexpressing FAM62A probed with FAM62A antibody (mock transfection in lane 1). Predicted molecular weight: ~123 kDa.
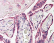
IHC testing of FFPE human placenta tissue with FAM62A antibody at 3.75ug/ml. Required HIER: steamed antigen retrieval with pH6 citrate buffer; AP-staining.
Availability 1-3 business days
Species Reactivity Human
Predicted Reactivity Mouse, Rat, Dog, Cow
Format Antigen affinity purified
Host Goat
Clonality Polyclonal (goat origin)
Isotype Goat Ig
Purity Antigen affinity
Gene ID 23344
Localization Cell membrane, cytoplasm (ER)
Applications Western Blot : 0.5-2ug/ml
IHC (FFPE) : 3.75ug/ml
ELISA (peptide) LOD : 1:8000
Limitations This FAM62A antibody is available for research use only.
Review this product on BioCompare and get a $20 Amazon gift card

Description

Additional name(s) for this target protein: Family with sequence similarity 62 member A

Application Notes

Optimal dilution of the FAM62A antibody should be determined by the researcher.

Immunogen

Amino acids QKKRTLSPEFNER were used as the immunogen for this FAM62A antibody.

Storage

Aliquot and store the FAM62A antibody at -20oC.

Cross
Bulk Quote Request Form
Name*:
Organization*:
Email*:
Phone Number*:
Catalog No.*:
Comments and Specifics(amount, formulation, etc.)*:
Validation code: Captchapackage Image


Can't read the image? click here to refresh.
    *required field

Your bulk quote request has been submitted successfully!

Please contact us if you have any questions.