• Tel: 858.663.9055
  • SeparatorEmail: info@nsjbio.com
  • Tel: 858.663.9055
  • Email: info@nsjbio.com
Home >> Antibodies >> FAIM1 Antibody

FAIM1 Antibody (R34503)

  Catalog No Formulation Size Price (USD)  
Image R34503-100UG 0.5 mg/ml in 1X TBS, pH7.3, with 0.5% BSA (US sourced) and 0.02% sodium azide 100 ug 475
Bulk quote request
Western blot testing of human lymph node lysate with FAIM1 antibody at 0.5ug/ml. Predicted/observed molecular weight: ~25kDa.
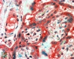
IHC staining of FFPE human placenta with FAIM1 antibody at 2.5ug/ml. HIER: steamed with pH6 citrate buffer, AP-staining.
Availability 1-3 business days
Species Reactivity Human
Predicted Reactivity Dog, Mouse, Rat
Format Antigen affinity purified
Host Goat
Clonality Polyclonal (goat origin)
Isotype Goat Ig
Purity Antigen affinity
Gene ID 55179
Applications Western Blot : 0.5-1ug/ml
Immunohistochemistry (FFPE) : 2-3ug/ml
ELISA (peptide) LOD : 1:32000
Limitations This FAIM1 antibody is available for research use only.
Review this product on BioCompare and get a $20 Amazon gift card

Description

Additional name(s) for this target protein: Fas apoptotic inhibitory molecule 1; FAIM

Application Notes

Optimal dilution of the FAIM1 antibody should be determined by the researcher.

Immunogen

Amino acids KKYMEDRSKTTN were used as the immunogen for this FAIM1 antibody.

Storage

Aliquot and store the FAIM1 antibody at -20oC.

Cross
Bulk Quote Request Form
Name*:
Organization*:
Email*:
Phone Number*:
Catalog No.*:
Comments and Specifics(amount, formulation, etc.)*:
Validation code: Captchapackage Image


Can't read the image? click here to refresh.
    *required field

Your bulk quote request has been submitted successfully!

Please contact us if you have any questions.