• Tel: 858.663.9055
  • SeparatorEmail: info@nsjbio.com
  • Tel: 858.663.9055
  • Email: info@nsjbio.com
Home >> Antibodies >> EZH1 Antibody / Enhancer of zeste homolog 1

EZH1 Antibody / Enhancer of zeste homolog 1 (RQ7773)

  Catalog No Formulation Size Price (USD)  
Image RQ7773 0.5mg/ml if reconstituted with 0.2ml sterile DI water 100 ug 449
Bulk quote request
Western blot testing of 1) rat testis, 2) rat C6, 3) mouse testis and 4) mouse NIH 3T3 cell lysate with EZH1 antibody. Predicted molecular weight: 69-86 kDa (multiple isoforms).
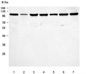
Western blot testing of human 1) HepG2, 2) HL60, 3) 293T, 4) Daudi, 5) HaCaT, 6) HeLa and 7) MOLT4 cell lysate with EZH1 antibody. Predicted molecular weight: 69-86 kDa (multiple isoforms).
Immunofluorescent staining of FFPE human HeLa cells with GNB1 antibody (red) and Alpha Tubulin mAb (green). HIER: steam section in pH6 citrate buffer for 20 min.
Flow cytometry testing of human RT4 cells with EZH1 antibody at 1ug/million cells (blocked with goat sera); Red=cells alone, Green=isotype control, Blue= EZH1 antibody.
Availability 1-3 business days
Species Reactivity Human, Mouse, Rat
Format Antigen affinity purified
Host Rabbit
Clonality Polyclonal (rabbit origin)
Isotype Rabbit IgG
Purity Antigen affinity purified
Buffer Lyophilized from 1X PBS with 2% Trehalose
UniProt Q92800
Localization Nuclear
Applications Western Blot : 0.5-1ug/ml
Immunofluorescence : 5ug/ml
Flow Cytometry : 1-3ug/million cells
Direct ELISA : 0.1-0.5ug/ml
Limitations This EZH1 antibody is available for research use only.
Review this product on BioCompare and get a $20 Amazon gift card

Related Products

  • Applications : IHC, WB, ELISA
    Reactivity : Human
    Pred. Reactivity : Bovine
  • Applications : WB, ELISA (peptide)
    Reactivity : Human
    Pred. Reactivity : Cow, Mouse

Description

Histone-lysine N-methyltransferase EZH1 is an enzyme that in humans is encoded by the EZH1 gene. EZH1 is a component of a noncanonical Polycomb repressive complex-2 (PRC2) that mediates methylation of histone H3 (see MIM 602812) lys27 (H3K27) and functions in the maintenance of embryonic stem cell pluripotency and plasticity.

Application Notes

Optimal dilution of the EZH1 antibody should be determined by the researcher.

Immunogen

E. coli-derived recombinant human protein (amino acids R27-E485) was used as the immunogen for the EZH1 antibody.

Storage

After reconstitution, the EZH1 antibody can be stored for up to one month at 4oC. For long-term, aliquot and store at -20oC. Avoid repeated freezing and thawing.

Cross
Bulk Quote Request Form
Name*:
Organization*:
Email*:
Phone Number*:
Catalog No.*:
Comments and Specifics(amount, formulation, etc.)*:
Validation code: Captchapackage Image


Can't read the image? click here to refresh.
    *required field

Your bulk quote request has been submitted successfully!

Please contact us if you have any questions.