• Tel: 858.663.9055
  • SeparatorEmail: info@nsjbio.com
  • Tel: 858.663.9055
  • Email: info@nsjbio.com
Home >> Antibodies >> ETEA Antibody

ETEA Antibody (R34301)

  Catalog No Formulation Size Price (USD)  
Image R34301-100UG 0.5 mg/ml in 1X TBS, pH7.3, with 0.5% BSA (US sourced) and 0.02% sodium azide 100 ug 475
Bulk quote request
Western blot testing of Jurkat lysate with ETEA antibody at 0.3ug/ml. Predicted molecular weight: ~53kDa.
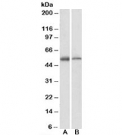
Western blot testing of A) human and B) mouse thymus lysate with ETEA antibody at 1ug/ml. Predicted molecular weight: ~53kDa.
Availability 1-3 business days
Species Reactivity Human, Mouse
Predicted Reactivity Cow, Dog, Rat
Format Antigen affinity purified
Host Goat
Clonality Polyclonal (goat origin)
Isotype Goat Ig
Purity Antigen affinity
Gene ID 23197
Applications Western Blot : 0.3-1ug/ml
ELISA (peptide) LOD : 1:16000
Limitations This ETEA antibody is available for research use only.
Review this product on BioCompare and get a $20 Amazon gift card

Description

Additional name(s) for this target protein: Expressed in T-cells and eosinophils in atopic dermatitis, UBXD8; FAF2

Application Notes

Optimal dilution of the ETEA antibody should be determined by the researcher.

Immunogen

Amino acids HTEVLFVQDLTDE were used as the immunogen for this ETEA antibody.

Storage

Aliquot and store the ETEA antibody at -20oC.

Cross
Bulk Quote Request Form
Name*:
Organization*:
Email*:
Phone Number*:
Catalog No.*:
Comments and Specifics(amount, formulation, etc.)*:
Validation code: Captchapackage Image


Can't read the image? click here to refresh.
    *required field

Your bulk quote request has been submitted successfully!

Please contact us if you have any questions.