• Tel: 858.663.9055
  • SeparatorEmail: info@nsjbio.com
  • Tel: 858.663.9055
  • Email: info@nsjbio.com
Home >> Antibodies >> Espin Antibody / ESPN

Espin Antibody / ESPN (F54893)

  Catalog No Formulation Size Price (USD)  
Image F54893-0.4ML In 1X PBS, pH 7.4, with 0.09% sodium azide 0.4 ml 439
Image
F54893-0.08ML In 1X PBS, pH 7.4, with 0.09% sodium azide 0.08 ml 205
Bulk quote request
Western blot testing of human SK-BR-3 cell lysate with Espin antibody. Predicted molecular weight ~92 kDa; isoforms can be observed at ~110 kDa and ~30 kDa.
Western blot testing of human HEK293 cell lysate with Espin antibody. Predicted molecular weight ~92 kDa; isoforms can be observed at ~110 kDa and ~30 kDa.
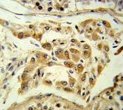
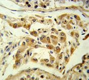
IHC testing of FFPE human testis tissue with Espin antibody. HIER: steam section in pH6 citrate buffer for 20 min and allow to cool prior to staining.
Flow cytometry testing of human HEK293 cells with Espin antibody; Blue=isotype control, Green= Espin antibody.
Availability 1-3 business days
Species Reactivity Human
Format Purified
Host Rabbit
Clonality Polyclonal (rabbit origin)
Isotype Rabbit Ig
Purity Antigen affinity purified
UniProt B1AK53
Localization Cytoplasmic
Applications Flow Cytometry : 1:10-1:50 (1x10e6 cells)
Immunohistochemistry (FFPE) : 1:50-1:100
Western Blot : 1:500-1:1000
Limitations This Espin antibody is available for research use only.
Review this product on BioCompare and get a $20 Amazon gift card

Related Products

  • Applications : WB, ELISA
    Reactivity : Mouse, Rat

Description

ESPN is a multifunctional actin-bundling protein. It plays a major role in regulating the organization, dimensions, dynamics, and signaling capacities of the actin filament-rich, microvillus-type specializations that mediate sensory transduction in various mechanosensory and chemosensory cells.

Application Notes

The stated application concentrations are suggested starting points. Titration of the Espin antibody may be required due to differences in protocols and secondary/substrate sensitivity.

Immunogen

A portion of amino acids 17-45 from the human protein was used as the immunogen for the Espin antibody.

Storage

Aliquot the Espin antibody and store frozen at -20oC or colder. Avoid repeated freeze-thaw cycles.

Cross
Bulk Quote Request Form
Name*:
Organization*:
Email*:
Phone Number*:
Catalog No.*:
Comments and Specifics(amount, formulation, etc.)*:
Validation code: Captchapackage Image


Can't read the image? click here to refresh.
    *required field

Your bulk quote request has been submitted successfully!

Please contact us if you have any questions.