• Tel: 858.663.9055
  • SeparatorEmail: info@nsjbio.com
  • Tel: 858.663.9055
  • Email: info@nsjbio.com
Home >> Antibodies >> ERV3 Antibody

ERV3 Antibody (R36494)

  Catalog No Formulation Size Price (USD)  
Image R36494-100UG 0.5 mg/ml in 1X TBS, pH7.3, with 0.5% BSA (US sourced) and 0.02% sodium azide 100 ug 475
Bulk quote request
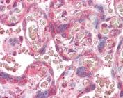
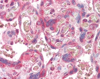
IHC testing of FFPE human placental tissue with ERV3 antibody at 3.75ug/ml. HIER: steamed antigen retrieval with pH6 citrate buffer; AP-staining.
Availability 1-3 business days
Species Reactivity Human
Format Antigen affinity purified
Host Goat
Clonality Polyclonal (goat origin)
Isotype Goat Ig
Purity Antigen affinity
UniProt Q14264
Localization Secreted
Applications IHC (FFPE) : 3-6ug/ml
ELISA (peptide) LOD : 1:4000
Limitations This ERV3 antibody is available for research use only.
Review this product on BioCompare and get a $20 Amazon gift card

Related Products

Description

Alternate name(s) for this target: Endogenous retroviral sequence 3; Endogenous retrovirus group 3 member 1 Env polyprotein precursor

Application Notes

Optimal dilution of the ERV3 antibody should be determined by the researcher.

Immunogen

Amino acids PQDNFTLTASS were used as the immunogen for this ERV3 antibody.

Storage

Aliquot and store the ERV3 antibody at -20oC.

Cross
Bulk Quote Request Form
Name*:
Organization*:
Email*:
Phone Number*:
Catalog No.*:
Comments and Specifics(amount, formulation, etc.)*:
Validation code: Captchapackage Image


Can't read the image? click here to refresh.
    *required field

Your bulk quote request has been submitted successfully!

Please contact us if you have any questions.