• Tel: 858.663.9055
  • SeparatorEmail: info@nsjbio.com
  • Tel: 858.663.9055
  • Email: info@nsjbio.com
Home >> Antibodies >> Epiregulin Antibody / EREG

Epiregulin Antibody / EREG (F54244)

  Catalog No Formulation Size Price (USD)  
Image F54244-0.4ML In 1X PBS, pH 7.4, with 0.09% sodium azide 0.4 ml 429
Image
F54244-0.08ML In 1X PBS, pH 7.4, with 0.09% sodium azide 0.08 ml 199
Bulk quote request
Western blot testing of human 1) A549, 2) HepG2 and 3) U-87 MG cell lysate with Epiregulin antibody. Expected molecular weight ~19 kDa.
Western blot testing of human 1) A549 and 2) placenta lysate with Epiregulin antibody. Expected molecular weight ~19 kDa.
IHC testing of FFPE human brain tissue with Epiregulin antibody. HIER: steam section in pH6 citrate buffer for 20 min and allow to cool prior to staining.
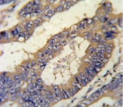
IHC testing of FFPE human colon carcinoma with Epiregulin antibody. HIER: steam section in pH6 citrate buffer for 20 min and allow to cool prior to staining.
Availability 1-3 business days
Species Reactivity Human
Format Purified
Clonality Polyclonal (rabbit origin)
Isotype Rabbit Ig
Purity Antigen affinity purified
UniProt O14944
Applications Western Blot : 1:1000-1:2000
Immunohistochemistry (FFPE) : 1:25-1:50
Limitations This Epiregulin antibody is available for research use only.
Review this product on BioCompare and get a $20 Amazon gift card

Description

EREG is a member of the epidermal growth factor family. EREG can function as a ligand of EGFR (epidermal growth factor receptor), as well as a ligand of most members of the ERBB (v-erb-b2 oncogene homolog) family of tyrosine-kinase receptors.

Application Notes

The stated application concentrations are suggested starting points. Titration of the Epiregulin antibody may be required due to differences in protocols and secondary/substrate sensitivity.

Immunogen

A portion of amino acids 137-165 from the human protein were used as the immunogen for the Epiregulin antibody.

Storage

Aliquot the Epiregulin antibody and store frozen at -20oC or colder. Avoid repeated freeze-thaw cycles.

Cross
Bulk Quote Request Form
Name*:
Organization*:
Email*:
Phone Number*:
Catalog No.*:
Comments and Specifics(amount, formulation, etc.)*:
Validation code: Captchapackage Image


Can't read the image? click here to refresh.
    *required field

Your bulk quote request has been submitted successfully!

Please contact us if you have any questions.