• Tel: 858.663.9055
  • SeparatorEmail: info@nsjbio.com
  • Tel: 858.663.9055
  • Email: info@nsjbio.com
Home >> Antibodies >> Epigen Antibody / Epgn

Epigen Antibody / Epgn (R32988)

  Catalog No Formulation Size Price (USD)  
Image R32988 0.5mg/ml if reconstituted with 0.2ml sterile DI water 100 ug 449
Bulk quote request
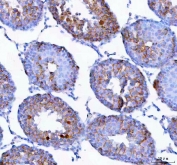
IHC staining of FFPE rat testis tissue with Epigen antibody. HIER: boil tissue sections in pH8 EDTA for 20 min and allow to cool before testing.
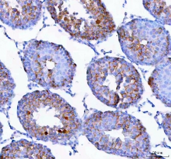
IHC staining of FFPE mouse testis tissue with Epigen antibody. HIER: boil tissue sections in pH8 EDTA for 20 min and allow to cool before testing.
Western blot testing of 1) rat brain and 2) mouse brain tissue lysate with Epigen antibody at 0.5ug/ml. Predicted molecular weight ~17 kDa.
Availability 1-3 business days
Species Reactivity Mouse, Rat
Format Antigen affinity purified
Host Rabbit
Clonality Polyclonal (rabbit origin)
Isotype Rabbit IgG
Purity Antigen affinity
Buffer Lyophilized from 1X PBS with 2% Trehalose
UniProt Q924X1
Localization Cell membrane
Applications Western Blot : 0.5-1ug/ml
Immunohistochemistry (FFPE) : 2-5ug/ml
ELISA (recombinant Mouse Protein) : 0.1-0.5ug/ml (BSA-free format available)
Limitations This Epigen antibody is available for research use only.
Review this product on BioCompare and get a $20 Amazon gift card

Related Products

  • Applications : WB
    Reactivity : Human, Rat

Description

Epigen also known as Epithelial mitogen is a protein that in humans is encoded by the EPGN gene. The protein encoded by this gene is a member of the epidermal growth factor family. Members of this family are ligands for the epidermal growth factor receptor and play a role in cell survival, proliferation and migration. This protein has been reported to have high mitogenic activity but low affinity for its receptor. Expression of this transcript and protein have been reported in cancer specimens of the breast, bladder, and prostate.

Application Notes

Optimal dilution of the Epigen antibody should be determined by the researcher.

Immunogen

A recombinant mouse protein corresponding to amino acids A19-K109 was used as the immunogen for the Epigen antibody.

Storage

After reconstitution, the Epigen antibody can be stored for up to one month at 4oC. For long-term, aliquot and store at -20oC. Avoid repeated freezing and thawing.

Cross
Bulk Quote Request Form
Name*:
Organization*:
Email*:
Phone Number*:
Catalog No.*:
Comments and Specifics(amount, formulation, etc.)*:
Validation code: Captchapackage Image


Can't read the image? click here to refresh.
    *required field

Your bulk quote request has been submitted successfully!

Please contact us if you have any questions.