• Tel: 858.663.9055
  • SeparatorEmail: info@nsjbio.com
  • Tel: 858.663.9055
  • Email: info@nsjbio.com
Home >> Antibodies >> EPB41L2 Antibody

EPB41L2 Antibody (R33678)

  Catalog No Formulation Size Price (USD)  
Image R33678-100UG 0.5 mg/ml in 1X TBS, pH7.3, with 0.5% BSA (US sourced) and 0.02% sodium azide 100 ug 475
Bulk quote request
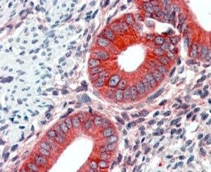
IHC testing of FFPE human uterus with EPB41L2 at 2ug/ml. HIER: steamed with pH6 citrate buffer, AP-staining.
Availability 1-3 business days
Species Reactivity Human
Format Antigen affinity purified
Host Goat
Clonality Polyclonal (goat origin)
Isotype Goat Ig
Purity Antigen affinity
Gene ID 2037
Applications Immunohistochemistry (FFPE) : 2-5ug/ml
ELISA (peptide) LOD : 1:16000
Limitations This EPB41L2 antibody is available for research use only.
Review this product on BioCompare and get a $20 Amazon gift card

Related Products

  • Applications : WB, IHC, ELISA (peptide)
    Reactivity : Human

Description

Additional name(s) for this target protein: Erythrocyte membrane protein band 4.1-like 2

Application Notes

Optimal dilution of the EPB41L2 antibody should be determined by the researcher.

Immunogen

Amino acids DYDPEEHGSID were used as the immunogen for this EPB41L2 antibody.

Storage

Aliquot and store the EPB41L2 antibody at -20oC.

Cross
Bulk Quote Request Form
Name*:
Organization*:
Email*:
Phone Number*:
Catalog No.*:
Comments and Specifics(amount, formulation, etc.)*:
Validation code: Captchapackage Image


Can't read the image? click here to refresh.
    *required field

Your bulk quote request has been submitted successfully!

Please contact us if you have any questions.