• Tel: 858.663.9055
  • SeparatorEmail: info@nsjbio.com
  • Tel: 858.663.9055
  • Email: info@nsjbio.com
Home >> Antibodies >> Endothelin B Receptor Antibody / EDNRB

Endothelin B Receptor Antibody / EDNRB (F54884)

  Catalog No Formulation Size Price (USD)  
Image F54884-0.4ML In 1X PBS, pH 7.4, with 0.09% sodium azide 0.4 ml 439
Image
F54884-0.08ML In 1X PBS, pH 7.4, with 0.09% sodium azide 0.08 ml 205
Bulk quote request
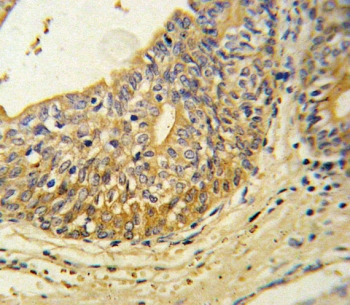
IHC testing of FFPE human prostate carcinoma tissue with Endothelin B Receptor antibody. HIER: steam section in pH6 citrate buffer for 20 min and allow to cool prior to staining.
Immunofluorescent staining of human HEK292 cells with Endothelin B Receptor antibody (green) and DAPI nuclear stain (blue).
Western blot testing of mouse cerebellum tissue lysate with Endothelin B Receptor antibody. Expected molecular weight of EDNRB is ~49–59 kDa (predicted), but the receptor consistently migrates around ~45 kDa on SDS-PAGE, often appearing as a single or doublet band depending on glycosylation state. This pattern is well-documented in peer-reviewed studies.
Flow cytometry testing of human MDA-MB-435 cells with Endothelin B Receptor antibody; Blue=isotype control, Green= Endothelin B Receptor antibody.
Availability 1-3 business days
Species Reactivity Human, Mouse
Format Purified
Host Rabbit
Clonality Polyclonal (rabbit origin)
Isotype Rabbit Ig
Purity Purified
UniProt P24530
Applications Flow Cytometry : 1:10-1:50 (1x10e6 cells)
Immunofluorescence : 1:10-1:50
Immunohistochemistry (FFPE) : 1:10-1:50
Western Blot : 1:500-1:1000
Limitations This Endothelin B Receptor antibody is available for research use only.
Review this product on BioCompare and get a $20 Amazon gift card

Related Products

Description

EDNRB is a G protein-coupled receptor which activates a phosphatidylinositol-calcium second messenger system. Its ligand, endothelin, consists of a family of three potent vasoactive peptides: ET1, ET2, and ET3. Studies suggest that the multigenic disorder, Hirschsprung disease type 2, is due to mutations in the endothelin receptor type B gene.

Application Notes

The stated application concentrations are suggested starting points. Titration of the Endothelin B Receptor antibody may be required due to differences in protocols and secondary/substrate sensitivity.

Immunogen

A portion of amino acids 409-439 from the human protein was used as the immunogen for the Endothelin B Receptor antibody.

Storage

Aliquot the Endothelin B Receptor antibody and store frozen at -20oC or colder. Avoid repeated freeze-thaw cycles.

Cross
Bulk Quote Request Form
Name*:
Organization*:
Email*:
Phone Number*:
Catalog No.*:
Comments and Specifics(amount, formulation, etc.)*:
Validation code: Captchapackage Image


Can't read the image? click here to refresh.
    *required field

Your bulk quote request has been submitted successfully!

Please contact us if you have any questions.