• Tel: 858.663.9055
  • SeparatorEmail: info@nsjbio.com
  • Tel: 858.663.9055
  • Email: info@nsjbio.com
Home >> Antibodies >> ELMO3 Antibody

ELMO3 Antibody (R36225)

  Catalog No Formulation Size Price (USD)  
Image R36225-100UG 0.5 mg/ml in 1X TBS, pH7.3, with 0.5% BSA (US sourced) and 0.02% sodium azide 100 ug 475
Bulk quote request
Western blot testing of human hipoocampus lysate with ELMO3 antibody at 0.1ug/ml. Predicted molecular weight: ~70kDa.
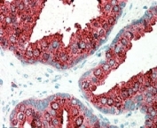
IHC staining of FFPE human prostate with ELMO3 antibody at 5ug/ml. HIER: steamed with pH6 citrate buffer, AP-staining. Vesiculate staining in the cytoplasm of secretory cells is seen.
Availability 1-3 business days
Species Reactivity Human
Predicted Reactivity Dog
Format Antigen affinity purified
Host Goat
Clonality Polyclonal (goat origin)
Isotype Goat Ig
Purity Antigen affinity
Gene ID 79767
Applications Western Blot : 0.1-0.3ug/ml
Immunohistochemistry (FFPE) : 5-10ug/ml
ELISA (peptide) LOD : 1:16000
Limitations This ELMO3 antibody is available for research use only.
Review this product on BioCompare and get a $20 Amazon gift card

Description

Additional name(s) for this target protein: Engulfment and cell motility 3

Application Notes

Optimal dilution of the ELMO3 antibody should be determined by the researcher.

Immunogen

Amino acids TNFNFCYDCSIAEP were used as the immunogen for this ELMO3 antibody.

Storage

Aliquot and store the ELMO3 antibody at -20oC.

Cross
Bulk Quote Request Form
Name*:
Organization*:
Email*:
Phone Number*:
Catalog No.*:
Comments and Specifics(amount, formulation, etc.)*:
Validation code: Captchapackage Image


Can't read the image? click here to refresh.
    *required field

Your bulk quote request has been submitted successfully!

Please contact us if you have any questions.