• Tel: 858.663.9055
  • SeparatorEmail: info@nsjbio.com
  • Tel: 858.663.9055
  • Email: info@nsjbio.com
Home >> Antibodies >> ELMO2 Antibody

ELMO2 Antibody (R35039)

  Catalog No Formulation Size Price (USD)  
Image R35039-100UG 0.5 mg/ml in 1X TBS, pH7.3, with 0.5% BSA (US sourced) and 0.02% sodium azide 100 ug 475
Bulk quote request
Western blot testing of human brain lysate with ELMO2 antibody at 2ug/ml. Predicted molecular weight: ~82kDa.
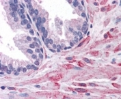
IHC staining of FFPE human prostate with ELMO2 antibody at 4ug/ml. HIER: steamed with pH6 citrate buffer, AP-staining. Pixulated staining in the cytoplasm of stroma cells is seen.
Availability 1-3 business days
Species Reactivity Human
Predicted Reactivity Cow, Dog, Mouse, Pig, Rat
Format Antigen affinity purified
Host Goat
Clonality Polyclonal (goat origin)
Isotype Goat Ig
Purity Antigen affinity
Gene ID 63916
Applications Western Blot : 1-3ug/ml
Immunohistochemistry (FFPE) : 3-6ug/ml
ELISA (peptide) LOD : 1:32000
Limitations This ELMO2 antibody is available for research use only.
Review this product on BioCompare and get a $20 Amazon gift card

Description

Additional name(s) for this target protein: Engulfment and cell motility 2

Application Notes

Optimal dilution of the ELMO2 antibody should be determined by the researcher.

Immunogen

Amino acids PKEPSSYDFVYHYG were used as the immunogen for this ELMO2 antibody.

Storage

Aliquot and store the ELMO2 antibody at -20oC.

Cross
Bulk Quote Request Form
Name*:
Organization*:
Email*:
Phone Number*:
Catalog No.*:
Comments and Specifics(amount, formulation, etc.)*:
Validation code: Captchapackage Image


Can't read the image? click here to refresh.
    *required field

Your bulk quote request has been submitted successfully!

Please contact us if you have any questions.