• Tel: 858.663.9055
  • SeparatorEmail: info@nsjbio.com
  • Tel: 858.663.9055
  • Email: info@nsjbio.com
Home >> Antibodies >> ELMO1 Antibody

ELMO1 Antibody (R35038)

  Catalog No Formulation Size Price (USD)  
Image R35038-100UG 0.5 mg/ml in 1X TBS, pH7.3, with 0.5% BSA (US sourced) and 0.02% sodium azide 100 ug 475
Bulk quote request
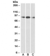
Western blot testing of human frontal cortex [A], mouse [B] and rat [C] brain lysate with ELMO1 antibody at 0.3ug/ml. Predicted molecular weight: ~84kDa.
Western blot testing of Jurkat cell lysate with ELMO1 antibody at 0.3ug/ml. Predicted molecular weight: ~84kDa.
Availability 1-3 business days
Species Reactivity Human, Mouse, Rat, Cow, Dog, Zebrafish
Predicted Reactivity Dog
Format Antigen affinity purified
Host Goat
Clonality Polyclonal (goat origin)
Isotype Goat Ig
Purity Antigen affinity
Gene ID 9844
Applications Western Blot : 0.1-0.3ug/ml
Immunoprecipitation : suitable
ELISA (peptide) LOD : 1:128000
Limitations This ELMO1 antibody is available for research use only.
Review this product on BioCompare and get a $20 Amazon gift card

Description

Additional name(s) for this target protein: Engulfment and cell motility 1

Application Notes

Optimal dilution of the ELMO1 antibody should be determined by the researcher.

Immunogen

Amino acids PKEPSNYDFVYDCN were used as the immunogen for this ELMO1 antibody.

Storage

Aliquot and store the ELMO1 antibody at -20oC.

Cross
Bulk Quote Request Form
Name*:
Organization*:
Email*:
Phone Number*:
Catalog No.*:
Comments and Specifics(amount, formulation, etc.)*:
Validation code: Captchapackage Image


Can't read the image? click here to refresh.
    *required field

Your bulk quote request has been submitted successfully!

Please contact us if you have any questions.