• Tel: 858.663.9055
  • SeparatorEmail: info@nsjbio.com
  • Tel: 858.663.9055
  • Email: info@nsjbio.com
Home >> Antibodies >> Elastin Antibody

Elastin Antibody [clone ELN/1981] (V3832)

  Catalog No Formulation Size Price (USD)  
Image V3832-100UG 0.2 mg/ml in 1X PBS with 0.1 mg/ml BSA (US sourced) and 0.05% sodium azide 100 ug 559
Image
V3832-20UG 0.2 mg/ml in 1X PBS with 0.1 mg/ml BSA (US sourced) and 0.05% sodium azide 20 ug 259
Image
V3832SAF-100UG 1 mg/ml in 1X PBS; BSA free, sodium azide free 100 ug 559
Microvalidated
Bulk quote request
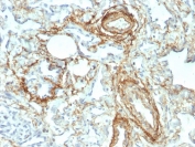
IHC testing of FFPE human small intestine with Elastin antibody (clone ELN/1981). Required HIER: boiling tissue sections in 10mM citrate buffer, pH 6, for 10-20 min and allow to cool prior to staining.
Analysis of HuProt(TM) microarray containing more than 19,000 full-length human proteins using Elastin antibody (clone ELN/1981). These results demonstrate the foremost specificity of the ELN/1981 mAb.
Z- and S- score: The Z-score represents the strength of a signal that an antibody (in combination with a fluorescently-tagged anti-IgG secondary Ab) produces when binding to a particular protein on the HuProt(TM) array. Z-scores are described in units of standard deviations (SD's) above the mean value of all signals generated on that array. If the targets on the HuProt(TM) are arranged in descending order of the Z-score, the S-score is the difference (also in units of SD's) between the Z-scores. The S-score therefore represents the relative target specificity of an Ab to its intended target.
SDS-PAGE analysis of purified, BSA-free Elastin antibody (clone ELN/1981) as confirmation of integrity and purity.
Availability 1-3 business days
Species Reactivity Human
Format Purified
Host Mouse
Clonality Monoclonal (mouse origin)
Isotype Mouse IgG1, kappa
Clone Name ELN/1981
Purity Protein G affinity chromatography
UniProt P15502
Localization Secreted
Applications ELISA (order BSA/sodium Azide-free Format For Coating) :
Immunohistochemistry (FFPE) : 1-2ug/ml for 30 min at RT
Limitations This Elastin antibody is available for research use only.
Review this product on BioCompare and get a $20 Amazon gift card

Related Products

Description

Elastin is a polymeric protein and is the main component of the extracellular matrix of arteries. It is synthesized and secreted as a soluble, single-chain protein (tropoelastin), which undergoes a number of post-translational modifications prior to its organization into an elastic fiber in the extracellular space. Elastin performs a regulatory function during arterial development by controlling proliferation of smooth muscle and stabilizing arterial structure. It imparts elasticity to the connective tissue. During aging, the elasticity of connective tissue is reduced because of the cross-linking of collagenous fibers with elastin. The abnormal accumulation of elastic tissue in blood vessels is found in atherosclerosis and hypertension.

This antibody is part of the Elastin antibody collection, where additional ELN antibodies can be explored.

Application Notes

Titering of the Elastin antibody may be required for optimal performance.

Immunogen

Recombinant full length human protein was used as the immunogen for the Elastin antibody.

Storage

Store the Elastin antibody at 2-8oC (with azide) or aliquot and store at -20oC or colder (without azide).

Cross
Bulk Quote Request Form
Name*:
Organization*:
Email*:
Phone Number*:
Catalog No.*:
Comments and Specifics(amount, formulation, etc.)*:
Validation code: Captchapackage Image


Can't read the image? click here to refresh.
    *required field

Your bulk quote request has been submitted successfully!

Please contact us if you have any questions.