• Tel: 858.663.9055
  • SeparatorEmail: info@nsjbio.com
  • Tel: 858.663.9055
  • Email: info@nsjbio.com
Home >> Antibodies >> Elafin Antibody

Elafin Antibody [clone C7] (RQ4509)

  Catalog No Formulation Size Price (USD)  
Image RQ4509 0.5mg/ml if reconstituted with 0.2ml sterile DI water 100 ug 449
Bulk quote request
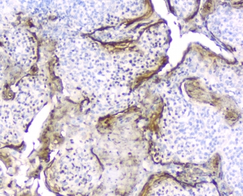
IHC testing of FFPE human tonsil tissue with Elafin antibody at 2ug/ml. HIER: boil tissue sections in pH6, 10mM citrate buffer, for 10-20 min followed by cooling at RT for 20 min.
Availability 1-3 business days
Species Reactivity Human
Format Purified
Host Mouse
Clonality Monoclonal (mouse origin)
Isotype Mouse IgG1
Clone Name C7
Purity Protein G affinity
Buffer Lyophilized from 1X PBS with 2% Trehalose and 0.025% sodium azide
UniProt P19957
Localization Secreted
Applications Immunohistochemistry (FFPE) : 1-2ug/ml
Capture ELISA : 1-5ug/ml (human recombinant protein)
Limitations This Elafin antibody is available for research use only.
Review this product on BioCompare and get a $20 Amazon gift card

Related Products

Description

Elafin, also known as peptidase inhibitor 3 or skin-derived antileukoprotease (SKALP), is a protein that in humans is encoded by the PI3 gene. This gene encodes an elastase-specific inhibitor that functions as an antimicrobial peptide against Gram-positive and Gram-negative bacteria, and fungal pathogens. The protein contains a WAP-type four-disulfide core (WFDC) domain, and is thus a member of the WFDC domain family. Most WFDC gene members are localized to chromosome 20q12-q13 in two clusters: centromeric and telomeric. And this gene belongs to the centromeric cluster. Expression of this gene is upgulated by bacterial lipopolysaccharides and cytokines.

Application Notes

Optimal dilution of the Elafin antibody should be determined by the researcher.

Immunogen

Human Elafin/Skalp recombinant protein (amino acids A61-Q117) was used as the immunogen for the Elafin antibody.

Storage

After reconstitution, the Elafin antibody can be stored for up to one month at 4oC. For long-term, aliquot and store at -20oC. Avoid repeated freezing and thawing.

Cross
Bulk Quote Request Form
Name*:
Organization*:
Email*:
Phone Number*:
Catalog No.*:
Comments and Specifics(amount, formulation, etc.)*:
Validation code: Captchapackage Image


Can't read the image? click here to refresh.
    *required field

Your bulk quote request has been submitted successfully!

Please contact us if you have any questions.