• Tel: 858.663.9055
  • SeparatorEmail: info@nsjbio.com
  • Tel: 858.663.9055
  • Email: info@nsjbio.com
Home >> Antibodies >> Egf receptor Antibody

Egf receptor Antibody (RQ6913)

  Catalog No Formulation Size Price (USD)  
Image RQ6913 0.5mg/ml if reconstituted with 0.2ml sterile DI water 100 ug 449
Bulk quote request
Egf receptor Antibody Mouse Liver IHC. Immunohistochemistry staining of FFPE mouse liver with Egf receptor antibody. HIER: boil tissue sections in pH8 EDTA for 20 min and allow to cool before testing.
Egf receptor Antibody Rat Liver IHC. Immunohistochemistry staining of FFPE rat liver with Egf receptor antibody. HIER: boil tissue sections in pH8 EDTA for 20 min and allow to cool before testing.
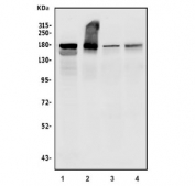
Egf receptor Antibody Mouse/Rat Liver, Lung, Spleen WB. Western blot testing of 1) rat liver, 2) mouse liver, 3) mouse spleen and 4) mouse lung tissue lysate with Egf receptor antibody. Expected molecular weight: 134-180 kDa depending on glycosylation level.
Availability 1-3 business days
Species Reactivity Mouse, Rat
Format Antigen affinity purified
Host Rabbit
Clonality Polyclonal (rabbit origin)
Isotype Rabbit IgG
Purity Affinity purified
Buffer Lyophilized from 1X PBS with 2% Trehalose and 0.025% sodium azide
UniProt Q01279
Applications Western Blot : 0.5-1ug/ml
Immunohistochemistry : 1-2ug/ml
Limitations This Egf receptor antibody is available for research use only.
Review this product on BioCompare and get a $20 Amazon gift card

Related Products

Description

The epidermal growth factor receptor (EGFR; ErbB-1; HER1 in humans) is a transmembrane protein that is a receptor for members of the epidermal growth factor family (EGF family) of extracellular protein ligands. It is mapped to 11 A2; 11 9.41 cM. The protein encoded by this gene is a transmembrane glycoprotein that is a member of the protein kinase superfamily. This protein is a receptor for members of the epidermal growth factor family. EGFR is a cell surface protein that binds to epidermal growth factor. Binding of the protein to a ligand induces receptor dimerization and tyrosine autophosphorylation and leads to cell proliferation. Mutations in this gene are associated with lung cancer.

Explore our EGFR Antibody (31G7) page for a broader view of EGFR expression and extensively validated antibody performance across applications.

Application Notes

Optimal dilution of the Egf receptor antibody should be determined by the researcher.

Immunogen

Recombinant mouse protein (amino acids L25-P596) was used as the immunogen for the Egf receptor antibody.

Storage

After reconstitution, the Egf receptor antibody can be stored for up to one month at 4oC. For long-term, aliquot and store at -20oC. Avoid repeated freezing and thawing.

Cross
Bulk Quote Request Form
Name*:
Organization*:
Email*:
Phone Number*:
Catalog No.*:
Comments and Specifics(amount, formulation, etc.)*:
Validation code: Captchapackage Image


Can't read the image? click here to refresh.
    *required field

Your bulk quote request has been submitted successfully!

Please contact us if you have any questions.