• Tel: 858.663.9055
  • SeparatorEmail: info@nsjbio.com
  • Tel: 858.663.9055
  • Email: info@nsjbio.com
Home >> Antibodies >> Egf Antibody

Egf Antibody (R32831)

  Catalog No Formulation Size Price (USD)  
Image R32831 0.5mg/ml if reconstituted with 0.2ml sterile DI water 100 ug 449
Bulk quote request
IHC testing of FFPE rat kidney tissue with Egf antibody at 1ug/ml. Required HIER: steam section in pH6 citrate buffer for 20 min and allow to cool prior to testing.
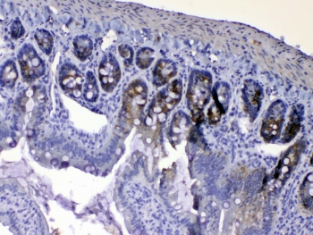
IHC testing of FFPE rat small intestine tissue with Egf antibody at 1ug/ml. Required HIER: steam section in pH6 citrate buffer for 20 min and allow to cool prior to testing.
Western blot testing of recombinant rat partial protein with Egf antibody at 0.5ug/ml.
Availability 1-3 business days
Species Reactivity Rat
Format Antigen affinity purified
Host Rabbit
Clonality Polyclonal (rabbit origin)
Isotype Rabbit IgG
Purity Antigen affinity
Buffer Lyophilized from 1X PBS with 2% Trehalose and 0.025% sodium azide
UniProt P07522
Applications Western Blot : 0.5-1ug/ml
IHC (FFPE) : 1-2ug/ml
ELISA (recombinant Rat Protein) : 0.1-0.5ug/ml
Limitations This Egf antibody is available for research use only.
Review this product on BioCompare and get a $20 Amazon gift card

Related Products

Description

EGF is known as epidermal growth factor. This gene encodes a member of the epidermal growth factor superfamily. The encoded preproprotein is proteolytically processed to generate the 53-amino acid epidermal growth factor peptide. This protein acts a potent mitogenic factor that plays an important role in the growth, proliferation and differentiation of numerous cell types. Additionally, it acts by binding with high affinity to the cell surface receptor, epidermal growth factor receptor. Defects in this gene are the cause of hypomagnesemia type 4. Dysregulation of this gene has been associated with the growth and progression of certain cancers. Alternative splicing results in multiple transcript variants, at least one of which encodes a preproprotein that is proteolytically processed.

Application Notes

Optimal dilution of the Egf antibody should be determined by the researcher.

Immunogen

A recombinant rat protein corresponding to amino acids N974-R1026 was used as the immunogen for the Egf antibody.

Storage

After reconstitution, the Egf antibody can be stored for up to one month at 4oC. For long-term, aliquot and store at -20oC. Avoid repeated freezing and thawing.

Cross
Bulk Quote Request Form
Name*:
Organization*:
Email*:
Phone Number*:
Catalog No.*:
Comments and Specifics(amount, formulation, etc.)*:
Validation code: Captchapackage Image


Can't read the image? click here to refresh.
    *required field

Your bulk quote request has been submitted successfully!

Please contact us if you have any questions.