• Tel: 858.663.9055
  • SeparatorEmail: info@nsjbio.com
  • Tel: 858.663.9055
  • Email: info@nsjbio.com
Home >> Antibodies >> EEF1A2 Antibody

EEF1A2 Antibody (R34872)

  Catalog No Formulation Size Price (USD)  
Image R34872-100UG 0.5 mg/ml in 1X TBS, pH7.3, with 0.5% BSA (US sourced) and 0.02% sodium azide 100 ug 475
Bulk quote request
Western blot testing of Jurkat lysate with EEF1A2 antibody at 0.5ug/ml. Predicted molecular weight: ~51kDa.
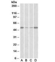
Western blot of mouse (A) and rat (B) skeletal muscle and mouse C) and rat (D) heart lysate with EEF1A2 antibody at 0.5ug/ml. Predicted molecular weight: ~51kDa.
Availability 1-3 business days
Species Reactivity Human, Mouse, Rat
Predicted Reactivity Cow, Dog
Format Antigen affinity purified
Host Goat
Clonality Polyclonal (goat origin)
Isotype Goat Ig
Purity Antigen affinity
Gene ID 1917
Applications Western Blot : 0.5-2ug/ml
ELISA (peptide) LOD : 1:8000
Limitations This EEF1A2 antibody is available for research use only.
Review this product on BioCompare and get a $20 Amazon gift card

Description

Additional name(s) for this target protein: Eukaryotic translation elongation factor 1 alpha 2, EEF1AL, EF-1-alpha-2; EEF1A2

Application Notes

Optimal dilution of the EEF1A2 antibody should be determined by the researcher.

Immunogen

Amino acids NPATVPFVPIS were used as the immunogen for this EEF1A2 antibody.

Storage

Aliquot and store the EEF1A2 antibody at -20oC.

Cross
Bulk Quote Request Form
Name*:
Organization*:
Email*:
Phone Number*:
Catalog No.*:
Comments and Specifics(amount, formulation, etc.)*:
Validation code: Captchapackage Image


Can't read the image? click here to refresh.
    *required field

Your bulk quote request has been submitted successfully!

Please contact us if you have any questions.