• Tel: 858.663.9055
  • SeparatorEmail: info@nsjbio.com
  • Tel: 858.663.9055
  • Email: info@nsjbio.com
Home >> Antibodies >> ECSM2 Antibody

ECSM2 Antibody (R34867)

  Catalog No Formulation Size Price (USD)  
Image R34867-100UG 0.5 mg/ml in 1X TBS, pH7.3, with 0.5% BSA (US sourced) and 0.02% sodium azide 100 ug 475
Bulk quote request
Western blot testing of human A) lung and B) umbical cord lysates with ECSM2 antibody at 1ug/ml. Predicted molecular weight: ~21/40-60 kDa (unmodified/glycosylated).
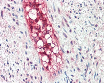
IHC testing of FFPE human vessel with ECSM2 antibody at 5ug/ml. Required HIER: steamed antigen retrieval with pH6 citrate buffer; AP-staining.
Availability 1-3 business days
Species Reactivity Human
Format Antigen affinity purified
Host Goat
Clonality Polyclonal (goat origin)
Isotype Goat Ig
Purity Antigen affinity
Gene ID 641700
Localization Membrane
Applications Western Blot : 1-3ug/ml
IHC (FFPE) : 5ug/ml
ELISA (peptide) LOD : 1:128000
Limitations This ECSM2 antibody is available for research use only.
Review this product on BioCompare and get a $20 Amazon gift card

Description

Additional name(s) for this target protein: Endothelial cell-specific marker 2; ECSCR; Endothelial cell surface expressed chemotaxis and apoptosis regulator; LOC641700

Application Notes

Optimal dilution of the ECSM2 antibody should be determined by the researcher.

Immunogen

Amino acids NNGKQSLSAEKVL were used as the immunogen for this ECSM2 antibody.

Storage

Aliquot and store the ECSM2 antibody at -20oC.

Cross
Bulk Quote Request Form
Name*:
Organization*:
Email*:
Phone Number*:
Catalog No.*:
Comments and Specifics(amount, formulation, etc.)*:
Validation code: Captchapackage Image


Can't read the image? click here to refresh.
    *required field

Your bulk quote request has been submitted successfully!

Please contact us if you have any questions.