• Tel: 858.663.9055
  • SeparatorEmail: info@nsjbio.com
  • Tel: 858.663.9055
  • Email: info@nsjbio.com
Home >> Antibodies >> DPM1 Antibody

DPM1 Antibody (R35593)

  Catalog No Formulation Size Price (USD)  
Image R35593-100UG 0.5 mg/ml in 1X TBS, pH7.3, with 0.5% BSA (US sourced) and 0.02% sodium azide 100 ug 475
Bulk quote request
Western blot testing of human liver lysate with DPM1 antibody at 0.1ug/ml. Predicted molecular weight: ~29 kDa.
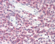
IHC testing of FFPE human tonsil tissue with DPM1 antibody at 3.75ug/ml. Required HIER: steamed antigen retrieval with pH6 citrate buffer; AP-staining.
Availability 1-3 business days
Species Reactivity Human
Format Antigen affinity purified
Host Goat
Clonality Polyclonal (goat origin)
Isotype Goat Ig
Purity Antigen affinity
Gene ID 8813
Applications Western Blot : 0.1-0.3ug/ml
IHC (FFPE) : 3.75ug/ml
ELISA (peptide) LOD : 1:32000
Limitations This DPM1 antibody is available for research use only.
Review this product on BioCompare and get a $20 Amazon gift card

Related Products

  • Applications : WB, ELISA (peptide)
    Reactivity : Mouse, Rat

Description

Additional name(s) for this target protein: Dolichyl-phosphate mannosyltransferase polypeptide 1

Application Notes

Optimal dilution of the DPM1 antibody should be determined by the researcher.

Immunogen

Amino acids RELEVRSPRQNKYS were used as the immunogen for this DPM1 antibody.

Storage

Aliquot and store the DPM1 antibody at -20oC.

Cross
Bulk Quote Request Form
Name*:
Organization*:
Email*:
Phone Number*:
Catalog No.*:
Comments and Specifics(amount, formulation, etc.)*:
Validation code: Captchapackage Image


Can't read the image? click here to refresh.
    *required field

Your bulk quote request has been submitted successfully!

Please contact us if you have any questions.