• Tel: 858.663.9055
  • SeparatorEmail: info@nsjbio.com
  • Tel: 858.663.9055
  • Email: info@nsjbio.com
Home >> Antibodies >> DJ-1 Antibody / PARK7

DJ-1 Antibody / PARK7 (F49626)

  Catalog No Formulation Size Price (USD)  
Image F49626-0.4ML In 1X PBS, pH 7.4, with 0.09% sodium azide 0.4 ml 439
Image
F49626-0.08ML In 1X PBS, pH 7.4, with 0.09% sodium azide 0.08 ml 205
Bulk quote request
Confocal immunofluorescent analysis of DJ-1 antibody with HeLa cells followed by Alexa Fluor 488-conjugated goat anti-rabbit lgG (green). DAPI was used as a nuclear counterstain (blue).
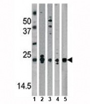
Western blot analysis of DJ-1 antibody and mouse 1) brain, 2) kidney, 3) liver tissue lysate, 4) NIH3T3, and 5) human HeLa lysate. Predicted molecular weight ~20 kDa.
Availability 1-3 business days
Species Reactivity Human, Mouse
Predicted Reactivity Bovine, Zebrafish
Format Purified
Host Rabbit
Clonality Polyclonal (rabbit origin)
Isotype Rabbit Ig
Purity Purified
UniProt Q99497
Localization Cytoplasmic, nuclear
Applications Western Blot : 1:1000
Immunofluorescence : 1:10-1:50
Limitations This DJ-1 antibody is available for research use only.
Review this product on BioCompare and get a $20 Amazon gift card

Related Products

  • Applications : WB, IHC-P, IF, FACS
    Reactivity : Human
  • Applications : WB, IHC-P, IF, IP
    Reactivity : Human, Mouse, Rat
  • Applications : WB, IF/ICC, ELISA (peptide)
    Reactivity : Human, Mouse, Rat
  • Applications : WB, ELISA (peptide)
    Reactivity : Human, Mouse, Rat
  • Applications : WB, IHC-P, ELISA
    Reactivity : Rat, Mouse
  • Applications : WB
    Reactivity : Zebrafish

Description

Park7/DJ-1 acts as positive regulator of androgen receptor-dependent transcription, and may function as redox-sensitive chaperone and as sensor for oxidative stress, as well as preventing aggregation of SNCA. This protein has been shown to protect neurons against oxidative stress and cell death, and to play a role in fertilization. It is detected in tau inclusions in brains from neurodegenerative disease patients, and is generally highly expressed in pancreas, kidney, skeletal muscle, liver, testis and heart, with detectable levels in placenta, brain, astrocytes, Sertoli cells, spermatogonia, spermatids and spermatozoa. Defects in Park7/DJ-1 are the cause of autosomal recessive early-onset Parkinson disease 7, a form of Parkinson disease characterized by onset before 40 years, slow progression and initial good response to levodopa.

Application Notes

Titration of the DJ-1 antibody may be required due to differences in protocols and secondary/substrate sensitivity.

Immunogen

A portion of amino acids 1-30 from the human protein was used as the immunogen for this DJ-1 antibody.

Storage

Aliquot the DJ-1 antibody and store frozen at -20oC or colder. Avoid repeated freeze-thaw cycles.

Cross
Bulk Quote Request Form
Name*:
Organization*:
Email*:
Phone Number*:
Catalog No.*:
Comments and Specifics(amount, formulation, etc.)*:
Validation code: Captchapackage Image


Can't read the image? click here to refresh.
    *required field

Your bulk quote request has been submitted successfully!

Please contact us if you have any questions.