• Tel: 858.663.9055
  • SeparatorEmail: info@nsjbio.com
  • Tel: 858.663.9055
  • Email: info@nsjbio.com
Home >> Antibodies >> DCXR Antibody

DCXR Antibody (F50407)

  Catalog No Formulation Size Price (USD)  
Image F50407-0.4ML In 1X PBS, pH 7.4, with 0.09% sodium azide 0.4 ml 439
Image
F50407-0.08ML In 1X PBS, pH 7.4, with 0.09% sodium azide 0.08 ml 205
Bulk quote request
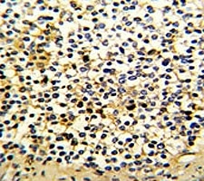
IHC analysis of FFPE human kidney carcinoma with DCXR antibody
Western blot analysis of DCXR antibody and mouse lung tissue lysate. Predicted molecular weight: ~26kDa.
Flow cytometric analysis of NCI-H292 cells using DCXR antibody (bottom histogram) compared to a negative control (top histogram). FITC-conjugated goat-anti-rabbit secondary Ab was used for the analysis.
Availability 1-3 business days
Species Reactivity Human, Mouse
Format Purified
Host Rabbit
Clonality Polyclonal (rabbit origin)
Isotype Rabbit Ig
Purity Purified
UniProt Q7Z4W1
Applications Western Blot : 1:1000
IHC (Paraffin) : 1:50-1:100
Flow Cytometry : 1:10-1:50
Limitations This DCXR antibody is available for research use only.
Review this product on BioCompare and get a $20 Amazon gift card

Related Products

  • Applications : WB, IHC, ELISA (peptide)
    Reactivity : Human

Description

DCXR is an enzyme that has both diacetyl reductase and L-xylulose reductase activities.

Application Notes

Titration of the DCXR antibody may be required due to differences in protocols and secondary/substrate sensitivity.

Immunogen

A portion of amino acids 79-106 from the human protein was used as the immunogen for this DCXR antibody.

Storage

Aliquot the DCXR antibody and store frozen at -20oC or colder. Avoid repeated freeze-thaw cycles.

Cross
Bulk Quote Request Form
Name*:
Organization*:
Email*:
Phone Number*:
Catalog No.*:
Comments and Specifics(amount, formulation, etc.)*:
Validation code: Captchapackage Image


Can't read the image? click here to refresh.
    *required field

Your bulk quote request has been submitted successfully!

Please contact us if you have any questions.