• Tel: 858.663.9055
  • SeparatorEmail: info@nsjbio.com
  • Tel: 858.663.9055
  • Email: info@nsjbio.com
Home >> Antibodies >> DCT Antibody / L-dopachrome tautomerase / TYRP2 / TRP2

DCT Antibody / L-dopachrome tautomerase / TYRP2 / TRP2 (RQ6972)

  Catalog No Formulation Size Price (USD)  
Image RQ6972 0.5mg/ml if reconstituted with 0.2ml sterile DI water 100 ug 449
Bulk quote request
Flow cytometry testing of human MCF7 cells with DCT antibody at 1ug/million cells (blocked with goat sera); Red=cells alone, Green=isotype control, Blue= DCT antibody.
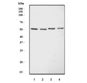
Western blot testing of 1) rat testis, 2) C6, 3) mouse testis and 4) mouse RAW264.7 cell lysate with DCT antibody. Predicted molecular weight ~59 kDa.
Availability 1-3 business days
Species Reactivity Human, Mouse, Rat
Format Antigen affinity purified
Host Rabbit
Clonality Polyclonal (rabbit origin)
Isotype Rabbit IgG
Purity Antigen affinity purified
Buffer Lyophilized from 1X PBS with 2% Trehalose
UniProt P40126
Applications Western Blot : 0.5-1 ug/ml
Flow Cytometry : 1-3ug/million cells
Direct ELISA : 0.1-0.5ug/ml
Limitations This DCT antibody is available for research use only.
Review this product on BioCompare and get a $20 Amazon gift card

Description

Dopachrome tautomerase (dopachrome delta-isomerase, tyrosine-related protein 2), also known as DCT, is a human gene. The TYR-related proteins, TRP1 and TRP2, are also specifically expressed in melanocytes, and they likewise contribute to the synthesis of melanin within the melanosomes. The TRPs, including TYR, all share a similar transmembrane region, contain two metal-binding regions and a cysteinerich epidermal growth factor motif, and are localized in the melanosomal membrane. These proteins, however, have distinct catalytic activity, and they individually contribute to the biosynthesis of melanin biopolymers. The TRPs are believed to exist as a multi-enzyme complex, as these proteins form aggregates together, and the expression of TRP1 also helps stabilize TYR in melanocytes.

Application Notes

Optimal dilution of the DCT antibody should be determined by the researcher.

Immunogen

Recombinant human protein (amino acids Q24-A519) was used as the immunogen for the DCT antibody.

Storage

After reconstitution, the DCT antibody can be stored for up to one month at 4oC. For long-term, aliquot and store at -20oC. Avoid repeated freezing and thawing.

Cross
Bulk Quote Request Form
Name*:
Organization*:
Email*:
Phone Number*:
Catalog No.*:
Comments and Specifics(amount, formulation, etc.)*:
Validation code: Captchapackage Image


Can't read the image? click here to refresh.
    *required field

Your bulk quote request has been submitted successfully!

Please contact us if you have any questions.