• Tel: 858.663.9055
  • SeparatorEmail: info@nsjbio.com
  • Tel: 858.663.9055
  • Email: info@nsjbio.com
Home >> Antibodies >> Cytokeratin 7 Antibody / Biotin conjugate

Cytokeratin 7 Antibody / Biotin conjugate [clone OV-TL12/30] (V2654BTN)

  Catalog No Formulation Size Price (USD)  
Image V2654BTN 0.1 mg/ml with 0.1 mg/ml BSA (US sourced), 0.05% sodium azide 500 ul 559
Bulk quote request
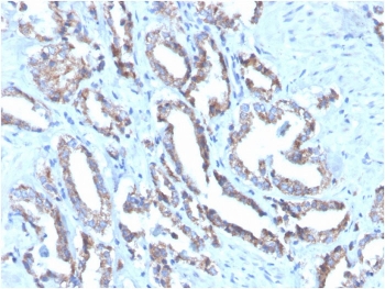
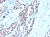
IHC staining of FFPE human prostate carcinoma with Cytokeratin 7 antibody (clone OV-TL12/30). HIER: boil tissue sections in pH 9 10mM Tris with 1mM EDTA for 20 min and allow to cool before testing.
IHC staining of FFPE human prostate carcinoma with Cytokeratin 7 antibody (clone OV-TL12/30). HIER: boil tissue sections in pH 9 10mM Tris with 1mM EDTA for 20 min and allow to cool before testing.
SDS-PAGE analysis of purified, BSA-free Cytokeratin 7 antibody (clone OV-TL12/30) as confirmation of integrity and purity.
Availability 1-3 business days
Species Reactivity Human
Format Biotin Conjugate
Host Mouse
Clonality Monoclonal (mouse origin)
Isotype Mouse IgG1, kappa
Clone Name OV-TL12/30
Purity Protein G affinity chromatography
UniProt P08729
Localization Cytoplasmic
Applications Flow Cytometry : 5ul per test per one million cells or 5ul per 100ul of whole blood
Immunofluorescence : 2-4ug/ml
Western Blot : 2-4ug/ml
Immunohistochemistry (FFPE) : 2-4ug/ml at RT
Limitations This Cytokeratin 7 antibody is available for research use only.
Review this product on BioCompare and get a $20 Amazon gift card

Related Products

Description

It recognizes an intermediate filament protein (IFP) of 55kDa, which is identified as cytokeratin 7. This MAb is highly specific to cytokeratin 7 and shows no cross-reaction with other IFPs. Cytokeratin 7 is a basic cytokeratin, which is found in most glandular and transitional epithelia but not in the stratified squamous epithelia. Keratin 7 is expressed in the epithelial cells of ovary, lung, and breast but not of colon, prostate, or gastrointestinal tract. This MAb is highly useful in distinguishing ovarian carcinomas (keratin 7+) from colon carcinomas (keratin 7-).

Application Notes

Optimal dilution of the Cytokeratin 7 antibody should be determined by the researcher.

Immunogen

The ovarian carcinoma cell line OTN 11 was used as the immunogen for the Cytokeratin 7 antibody.

Storage

Store the Cytokeratin 7 antibody at 2-8oC (up to one month) or aliquot and store at -20oC (longer term).

Cross
Bulk Quote Request Form
Name*:
Organization*:
Email*:
Phone Number*:
Catalog No.*:
Comments and Specifics(amount, formulation, etc.)*:
Validation code: Captchapackage Image


Can't read the image? click here to refresh.
    *required field

Your bulk quote request has been submitted successfully!

Please contact us if you have any questions.