• Tel: 858.663.9055
  • SeparatorEmail: info@nsjbio.com
  • Tel: 858.663.9055
  • Email: info@nsjbio.com
Home >> Antibodies >> Cytokeratin 20 Antibody for IHC / KRT20 Immunohistochemistry Antibody

Cytokeratin 20 Antibody for IHC / KRT20 Immunohistochemistry Antibody [clone KRT20/1991] (V7513)

  Catalog No Formulation Size Price (USD)  
Image V7513-100UG 0.2 mg/ml in 1X PBS with 0.1 mg/ml BSA (US sourced) and 0.05% sodium azide 100 ug 559
Image
V7513-20UG 0.2 mg/ml in 1X PBS with 0.1 mg/ml BSA (US sourced) and 0.05% sodium azide 20 ug 259
Image
V7513SAF-100UG 1 mg/ml in 1X PBS; BSA free, sodium azide free 100 ug 559
Image
V7513IHC-7ML Prediluted in 1X PBS with 0.1 mg/ml BSA (US sourced) and 0.05% sodium azide; *For IHC use only* 7 ml 559
Microvalidated
Bulk quote request
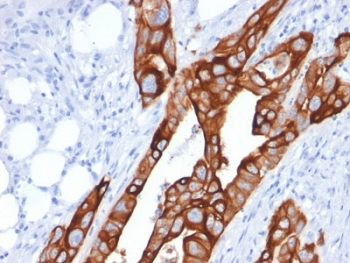
Cytokeratin 20 Antibody for IHC (clone KRT20/1991). Immunohistochemistry analysis of human colon carcinoma tissue using mouse monoclonal Cytokeratin 20 antibody (clone KRT20/1991). HRP-DAB brown chromogenic staining highlights cytoplasmic Keratin 20 / Cytokeratin 20 (KRT20) expression in malignant epithelial cells forming glandular structures, while surrounding stromal cells remain largely negative. The staining pattern reflects the known epithelial localization of this intermediate filament protein in colorectal carcinoma. Required HIER: boil tissue sections in 10 mM citrate buffer, pH 6, for 10-20 min followed by cooling at RT for 20 min.
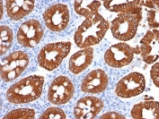
Cytokeratin 20 Antibody for IHC (clone KRT20/1991). Immunohistochemistry analysis of human colon tissue using mouse monoclonal Cytokeratin 20 antibody (clone KRT20/1991). HRP-DAB brown chromogenic staining highlights cytoplasmic Keratin 20 / Cytokeratin 20 (KRT20) expression in epithelial cells lining colonic glandular crypt structures, while surrounding stromal cells remain largely negative. The staining pattern reflects the expected epithelial localization of this intermediate filament protein in gastrointestinal mucosa. Required HIER: boil tissue sections in 10 mM citrate buffer, pH 6, for 10-20 min followed by cooling at RT for 20 min.
Western blot testing of human HT29 cell lysate with Cytokeratin 20 antibody (clone KRT20/1991). Predicted molecular weight ~46 kDa.
Analysis of HuProt(TM) microarray containing more than 19,000 full-length human proteins using Cytokeratin 20 antibody (clone KRT20/1991). These results demonstrate the foremost specificity of the KRT20/1991 mAb.
Z- and S- score: The Z-score represents the strength of a signal that an antibody (in combination with a fluorescently-tagged anti-IgG secondary Ab) produces when binding to a particular protein on the HuProt(TM) array. Z-scores are described in units of standard deviations (SD's) above the mean value of all signals generated on that array. If the targets on the HuProt(TM) are arranged in descending order of the Z-score, the S-score is the difference (also in units of SD's) between the Z-scores. The S-score therefore represents the relative target specificity of an Ab to its intended target.
SDS-PAGE analysis of purified, BSA-free Cytokeratin 20 antibody (clone KRT20/1991) as confirmation of integrity and purity.
Availability 1-3 business days
Species Reactivity Human
Format Purified
Host Mouse
Clonality Monoclonal (mouse origin)
Isotype Mouse IgG1, kappa
Clone Name KRT20/1991
Purity Protein G affinity chromatography
UniProt P35900
Localization Cytoplasmic
Applications Western Blot : 1-2ug/ml
Immunohistochemistry (FFPE) : 1-2ug/ml for 30 min at RT
Limitations This Cytokeratin 20 antibody is available for research use only.
Review this product on BioCompare and get a $20 Amazon gift card

Related Products

Description

Keratin 20 (KRT20) is a type I acidic cytokeratin that serves as a well-established epithelial marker in histopathology and epithelial biology research. Cytokeratin 20 Antibody for IHC (clone KRT20/1991) enables immunohistochemical detection of Keratin 20 in formalin-fixed, paraffin-embedded tissue sections, allowing visualization of epithelial cell populations and epithelial tumor cells within complex tissue architecture. Keratin 20 is localized predominantly in the cytoplasm of epithelial cells where it forms intermediate filament networks that support epithelial structure and maintain tissue integrity. In immunohistochemistry staining, Cytokeratin 20 typically appears as cytoplasmic labeling of epithelial cells lining glandular structures of the gastrointestinal tract.

Keratin 20 is encoded by the KRT20 gene located on chromosome 17q21 within a cluster of keratin genes responsible for epithelial cytoskeletal organization. The protein is widely known in the literature as Cytokeratin 20 or CK20, two commonly used synonyms in pathology and epithelial differentiation studies. Keratin 20 forms heterodimers with type II keratins such as keratin 8, and these dimers assemble into intermediate filament networks distributed throughout the cytoplasm. Immunohistochemistry detection using a Cytokeratin 20 Antibody for IHC highlights these cytoplasmic filament structures in epithelial cells, providing clear visualization of epithelial morphology and glandular architecture in histological sections.

Keratin 20 expression is strongly associated with differentiated epithelial cells of the gastrointestinal tract. High levels of KRT20 expression are observed in colonic and rectal epithelial cells where the protein contributes to epithelial barrier structure and cellular organization. In immunohistochemistry analysis of normal colon tissue, Cytokeratin 20 antibody staining typically highlights epithelial cells lining colonic glandular crypts while stromal cells and most other tissue components remain negative. This selective epithelial staining pattern makes CK20 antibody detection a valuable tool for identifying intestinal epithelial cells in tissue sections.

In pathology research, Keratin 20 is widely used as a colorectal carcinoma marker. CK20 expression is frequently retained in colorectal adenocarcinoma and other epithelial tumors derived from gastrointestinal tissues. Immunohistochemistry staining using a Cytokeratin 20 Antibody for IHC allows researchers to visualize malignant epithelial cells within tumor tissue and evaluate epithelial differentiation patterns in cancer samples. Cytokeratin 20 immunohistochemistry therefore supports studies examining epithelial tumor biology, tumor differentiation status, and epithelial lineage identification in histological specimens.

The mouse monoclonal antibody clone KRT20/1991 targets Keratin 20 and can be used to detect KRT20 protein in formalin-fixed, paraffin-embedded tissues for research applications. Immunohistochemistry staining with a Cytokeratin 20 Antibody for IHC typically produces cytoplasmic epithelial labeling in gastrointestinal tissues and colorectal tumors, enabling clear visualization of epithelial cell distribution and supporting histopathological analysis of epithelial differentiation and colorectal carcinoma biology.

Application Notes

Optimal dilution of the Cytokeratin 20 Antibody for IHC should be determined by the researcher.

1. The prediluted format is supplied in a dropper bottle and is optimized for use in IHC. After epitope retrieval step (if required), drip mAb solution onto the tissue section and incubate at RT for 30 min.

Immunogen

A portion of amino acids 196-323 from the human protein was used as the immunogen for this Cytokeratin 20 antibody.

Storage

Store the Cytokeratin 20 antibody at 2-8oC (with azide) or aliquot and store at -20oC or colder (without azide).

Alternate Names

Keratin 20 antibody, CK20 antibody, KRT20 antibody, Cytokeratin-20 antibody, Keratin 20 protein antibody

Cross
Bulk Quote Request Form
Name*:
Organization*:
Email*:
Phone Number*:
Catalog No.*:
Comments and Specifics(amount, formulation, etc.)*:
Validation code: Captchapackage Image


Can't read the image? click here to refresh.
    *required field

Your bulk quote request has been submitted successfully!

Please contact us if you have any questions.