- Tel: 858.663.9055
- 
									 Email: info@nsjbio.com Email: info@nsjbio.com
- Tel: 858.663.9055
- Email: info@nsjbio.com
 Email: info@nsjbio.com
Email: info@nsjbio.com
								Related Products
| 
 | 
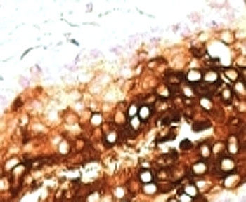
Cytokeratin 17 (CK17) is a member of the Cytokeratin subfamily of intermediate filament proteins (IF's). It is unique in that it is normally expressed in the basal cells of complex epithelia but not in stratified or simple epithelia. CK17 is expressed in the nail bed, hair follicle, sebaceous glands and other epidermal appendages. Antibody to CK17 is an excellent tool to distinguish myoepithelial cells from luminal epithelium of various glands such as mammary, sweat and salivary. CK17 is expressed in epithelial cells of various origins, such as bronchial epithelial cells and skin appendages. It may be considered an epithelial stem cell marker because CK17 Ab marks basal cell differentiation. CK17 can be useful when included in a panel of antibodies against TTF-1, napsin A, CK5&6, p63, and SOX-2 for diagnostic differentiation between lung adenocarcinoma (LADC) and lung squamous cell carcinoma (SCLC), especially for poorly-differentiated lung carcinoma. CK17 is expressed in SCLC much higher than in LADC. In breast carcinomas, approximately 20% of patients show no expression of ER, PR and Her2, which are defined as triple negative tumor. Eighty-five percent of the triple negative breast carcinomas immunoreact with basal cytokeratins including anti-CK17. Also important is that cases of triple negative breast carcinoma with expression of CK17 show an aggressive clinical course. The histologic differentiation of ampullary cancer, intestinal vs. pancreatobiliary, is very important for treatment. Usually anti-CK17 and anti-MUC1 immunoreactivity represents pancreatobiliary subtype whereas anti-MUC2 and anti-CDX-2 positivity defines intestinal subtype.
The optimal dilution of the Cytokeratin 17 antibody for each application should be determined by the researcher.
1. Staining of formalin-fixed tissues requires boiling tissue sections in pH 9 10mM Tris with 1mM EDTA for 10-20 min followed by cooling at RT for 20 minutes.
2. The prediluted format is supplied in a dropper bottle and is optimized for use in IHC. After epitope retrieval step (if required), drip mAb solution onto the tissue section and incubate at RT for 30 min.
A cytoskeletal fraction of rat colon epithelium was used as the immunogen for this Cytokeratin 17 antibody.
Store the Cytokeratin 17 antibody at 2-8oC (with azide) or aliquot and store at -20oC or colder (without azide).
 
Your bulk quote request has been submitted successfully!
Please contact us if you have any questions.