• Tel: 858.663.9055
  • SeparatorEmail: info@nsjbio.com
  • Tel: 858.663.9055
  • Email: info@nsjbio.com
Home >> Antibodies >> Cyclophilin E Antibody

Cyclophilin E Antibody (RQ6110)

  Catalog No Formulation Size Price (USD)  
Image RQ6110 0.5mg/ml if reconstituted with 0.2ml sterile DI water 100 ug 449
Bulk quote request
Immunofluorescent staining of FFPE human A431 cells with Cyclophilin E antibody (green) and DAPI nuclear stain (blue). HIER: steam section in pH6 citrate buffer for 20 min.
Immunofluorescent staining of FFPE human PC-3 cells with Cyclophilin E antibody (green) and DAPI nuclear stain (blue). HIER: steam section in pH6 citrate buffer for 20 min.
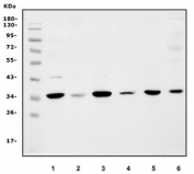
Western blot testing of human 1) HEK293, 2) HeLa, 3) K562, 4) PC-3, 5) Caco-2 and 6) mouse HEPA1-6 lysate with Cyclophilin E antibody. Predicted molecular weight ~33 kDa.
Flow cytometry testing of human ThP-1 cells with Cyclophilin E antibody at 1ug/million cells (blocked with goat sera); Red=cells alone, Green=isotype control, Blue= Cyclophilin E antibody.
Immunoprecipitation of Cyclophilin E protein from 500ug of human PC-3 whole cell lysate with 2ug of Cyclophilin E antibody.
Availability 1-3 business days
Species Reactivity Human, Mouse
Format Antigen affinity purified
Host Rabbit
Clonality Polyclonal (rabbit origin)
Isotype Rabbit IgG
Purity Affinity purified
Buffer Lyophilized from 1X PBS with 2% Trehalose and 0.025% sodium azide
UniProt Q9UNP9
Localization Nuclear
Applications Western Blot : 1-2ug/ml
Immunofluorescence : 5ug/ml
Flow Cytometry : 1-3ug/million cells
Direct ELISA : 0.1-0.5ug/ml
Immunoprecipitation : 2ug per 500ug of lysate
Limitations This Cyclophilin E antibody is available for research use only.
Review this product on BioCompare and get a $20 Amazon gift card

Related Products

Description

Peptidylprolyl isomerase E (cyclophilin E), also known as PPIE, is an enzyme which in humans is encoded by the PPIE gene on chromosome 1. The protein encoded by this gene is a member of the peptidyl-prolyl cis-trans isomerase (PPIase) family. PPIases catalyze the cis-trans isomerization of proline imidic peptide bonds in oligopeptides and accelerate the folding of proteins. This protein contains a highly conserved cyclophilin (CYP) domain as well as an RNA-binding domain. It was shown to possess PPIase and protein folding activities, and it also exhibits RNA-binding activity. Alternative splicing results in multiple transcript variants. A related pseudogene, which is also located on chromosome 1, has been identified.

Application Notes

Optimal dilution of the Cyclophilin E antibody should be determined by the researcher.

Immunogen

A human recombinant partial protein (amino acids M1-V301) was used as the immunogen for the Cyclophilin E antibody.

Storage

After reconstitution, the Cyclophilin E antibody can be stored for up to one month at 4oC. For long-term, aliquot and store at -20oC. Avoid repeated freezing and thawing.

Cross
Bulk Quote Request Form
Name*:
Organization*:
Email*:
Phone Number*:
Catalog No.*:
Comments and Specifics(amount, formulation, etc.)*:
Validation code: Captchapackage Image


Can't read the image? click here to refresh.
    *required field

Your bulk quote request has been submitted successfully!

Please contact us if you have any questions.