• Tel: 858.663.9055
  • SeparatorEmail: info@nsjbio.com
  • Tel: 858.663.9055
  • Email: info@nsjbio.com
Home >> Antibodies >> Cyclin E2 Antibody

Cyclin E2 Antibody [clone GHH-3] (RQ4830)

  Catalog No Formulation Size Price (USD)  
Image RQ4830 Antibody in PBS with 0.02% sodium azide, 50% glycerol and 0.4-0.5mg/ml BSA 100 ul 449
Microvalidated Rab Mono Image
Bulk quote request
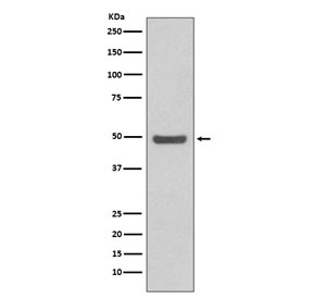
Western blot testing of human HeLa cell lysate with Cyclin E2 antibody. Expected molecular weight: 45-50 kDa.
Availability 1-2 weeks
Species Reactivity Human
Format Purified
Host Rabbit
Clonality Rabbit Monoclonal
Isotype Rabbit IgG
Clone Name GHH-3
Purity Affinity purified
UniProt O96020
Applications Western Blot : 1:500-1:1000
Limitations This Cyclin E2 antibody is available for research use only.
Review this product on BioCompare and get a $20 Amazon gift card

Related Products

Description

'G1/S-specific cyclin-E2' belongs to the highly conserved cyclin family, whose members are characterized by a dramatic periodicity in protein abundance through the cell cycle. Cyclins function as regulators of CDK kinases. Different cyclins exhibit distinct expression and degradation patterns which contribute to the temporal coordination of each mitotic event. This cyclin forms a complex with and functions as a regulatory subunit of CDK2. This cyclin has been shown to specifically interact with CIP/KIP family of CDK inhibitors, and plays a role in cell cycle G1/S transition. The expression of this gene peaks at the G1-S phase and exhibits a pattern of tissue specificity distinct from that of cyclin E1. A significantly increased expression level of this gene was observed in tumor-derived cells. [RefSeq]

Application Notes

Optimal dilution of the Cyclin E2 antibody should be determined by the researcher.

Immunogen

A synthetic peptide specific to human Cyclin E2 / CCNE2 was used as the immunogen for the Cyclin E2 antibody.

Storage

Store the Cyclin E2 antibody at -20oC.

Cross
Bulk Quote Request Form
Name*:
Organization*:
Email*:
Phone Number*:
Catalog No.*:
Comments and Specifics(amount, formulation, etc.)*:
Validation code: Captchapackage Image


Can't read the image? click here to refresh.
    *required field

Your bulk quote request has been submitted successfully!

Please contact us if you have any questions.