• Tel: 858.663.9055
  • SeparatorEmail: info@nsjbio.com
  • Tel: 858.663.9055
  • Email: info@nsjbio.com
Home >> Antibodies >> CUBN Antibody / Cubilin

CUBN Antibody / Cubilin [clone GA-3] (RQ4757)

  Catalog No Formulation Size Price (USD)  
Image RQ4757 Antibody in PBS with 0.02% sodium azide, 50% glycerol and 0.4-0.5mg/ml BSA 100 ul 449
Microvalidated Rab Mono Image
Bulk quote request
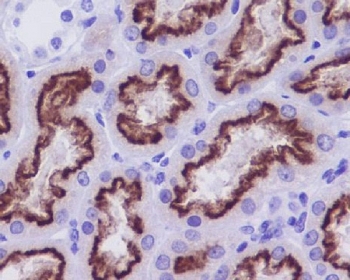
IHC staining of FFPE human kidney tissue with CUBN antibody. HIER: boil tissue sections in pH6, 10mM citrate buffer, for 10-20 min and allow to cool before testing.
Western blot testing of human fetal kidney with Cubilin antibody. Expected molecular weight: 399-460 kDa.
Availability 1-2 weeks
Species Reactivity Human
Format Purified
Host Rabbit
Clonality Rabbit Monoclonal
Isotype Rabbit IgG
Clone Name GA-3
Purity Affinity purified
UniProt O60494
Localization Cytoplasmic, membrane
Applications Western Blot : 1:500-1:2000
Immunohistochemistry (FFPE) : 1:50-1:200
Limitations This CUBN antibody is available for research use only.
Review this product on BioCompare and get a $20 Amazon gift card

Related Products

Description

Cotransporter which plays a role in lipoprotein, vitamin and iron metabolism, by facilitating their uptake. Binds to ALB, MB, Kappa and lambda-light chains, TF, hemoglobin, GC, SCGB1A1, APOA1, high density lipoprotein, and the CBLIF-cobalamin complex. The binding of all ligands requires calcium. Serves as important transporter in several absorptive epithelia, including intestine, renal proximal tubules and embryonic yolk sac. Interaction with LRP2 mediates its trafficking throughout vesicles and facilitates the uptake of specific ligands like GC, hemoglobin, ALB, TF and SCGB1A1. Interaction with AMN controls its trafficking to the plasma membrane and facilitates endocytosis of ligands. May play an important role in the development of the peri-implantation embryo through internalization of APOA1 and cholesterol. Binds to LGALS3 at the maternal-fetal interface. [UniProt]

Application Notes

Optimal dilution of the CUBN antibody should be determined by the researcher.

Immunogen

A synthetic peptide specific to human Cubilin / CUBN was used as the immunogen for the CUBN antibody.

Storage

Store the CUBN antibody at -20oC.

Cross
Bulk Quote Request Form
Name*:
Organization*:
Email*:
Phone Number*:
Catalog No.*:
Comments and Specifics(amount, formulation, etc.)*:
Validation code: Captchapackage Image


Can't read the image? click here to refresh.
    *required field

Your bulk quote request has been submitted successfully!

Please contact us if you have any questions.