• Tel: 858.663.9055
  • SeparatorEmail: info@nsjbio.com
  • Tel: 858.663.9055
  • Email: info@nsjbio.com
Home >> Antibodies >> CSRP3 Antibody

CSRP3 Antibody (R33238)

  Catalog No Formulation Size Price (USD)  
Image R33238-100UG 0.5 mg/ml in 1X TBS, pH7.3, with 0.5% BSA (US sourced) and 0.02% sodium azide 100 ug 475
Bulk quote request
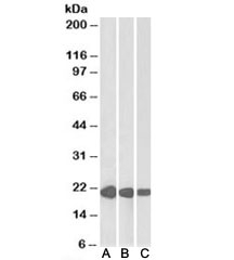
Western blot testing of human [A], mouse [B] and rat [C] heart lysate with CSRP3 antibody at 0.01ug/ml. Predicted molecular weight: ~21 kDa.
IHC testing of FFPE human heart tissue with CSRP3 antibody at 2.5ug/ml. Required HIER: steamed antigen retrieval with pH6 citrate buffer; AP-staining.
IHC testing of FFPE human skeletal muscle tissue with CSRP3 antibody at 2.5ug/ml. Required HIER: steamed antigen retrieval with pH6 citrate buffer; AP-staining.
Availability 1-3 business days
Species Reactivity Human, Mouse, Rat
Predicted Reactivity Dog, Cow
Format Antigen affinity purified
Host Goat
Clonality Polyclonal (goat origin)
Isotype Goat Ig
Purity Antigen affinity
Gene ID 8048
Localization Cytoplasmic
Applications Western Blot : 0.01-0.03ug/ml
IHC (FFPE) : 2.5ug/ml
ELISA (peptide) LOD : 1:32000
Limitations This CSRP3 antibody is available for research use only.
Review this product on BioCompare and get a $20 Amazon gift card

Description

Additional name(s) for this target protein: Cysteine and glycine-rich protein 3

Application Notes

Optimal dilution of the CSRP3 antibody should be determined by the researcher.

Immunogen

Amino acids CGKSLESTNVTDKD were used as the immunogen for this CSRP3 antibody.

Storage

Aliquot and store the CSRP3 antibody at -20oC.

Cross
Bulk Quote Request Form
Name*:
Organization*:
Email*:
Phone Number*:
Catalog No.*:
Comments and Specifics(amount, formulation, etc.)*:
Validation code: Captchapackage Image


Can't read the image? click here to refresh.
    *required field

Your bulk quote request has been submitted successfully!

Please contact us if you have any questions.