• Tel: 858.663.9055
  • SeparatorEmail: info@nsjbio.com
  • Tel: 858.663.9055
  • Email: info@nsjbio.com
Home >> Antibodies >> CRYAB Antibody

CRYAB Antibody [clone CPTC-CRYAB-1] (V3972)

  Catalog No Formulation Size Price (USD)  
Image V3972-100UG 0.2 mg/ml in 1X PBS with 0.1 mg/ml BSA (US sourced) and 0.05% sodium azide 100 ug 559
Image
V3972-20UG 0.2 mg/ml in 1X PBS with 0.1 mg/ml BSA (US sourced) and 0.05% sodium azide 20 ug 259
Image
V3972SAF-100UG 1 mg/ml in 1X PBS; BSA free, sodium azide free 100 ug 559
Image
V3972IHC-7ML Prediluted in 1X PBS with 0.1 mg/ml BSA (US sourced) and 0.05% sodium azide; *For IHC use only* 7 ml 559
Microvalidated
Bulk quote request
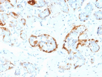
CRYAB Antibody Human Breast Tissue IHC. Immunohistochemistry staining of FFPE human breast tissue with CRYAB antibody (clone CPTC-CRYAB-1). HIER: boil tissue sections in pH6, 10mM citrate buffer, for 10-20 min and allow to cool before testing.
CRYAB Antibody Rat Heart Tissue IHC. Immunohistochemistry staining of FFPE rat heart tissue with CRYAB antibody (clone CPTC-CRYAB-1). HIER: boil tissue sections in pH6, 10mM citrate buffer, for 10-20 min and allow to cool before testing.
Western blot testing of human HeLa lysate with CRYAB antibody (clone CPTC-CRYAB-1). Predicted molecular weight: ~20 kDa.
Analysis of HuProt(TM) microarray containing more than 19,000 full-length human proteins using CRYAB antibody (clone CPTC-CRYAB-1). These results demonstrate the foremost specificity of the CPTC-CRYAB-1 mAb.
Z- and S- score: The Z-score represents the strength of a signal that an antibody (in combination with a fluorescently-tagged anti-IgG secondary Ab) produces when binding to a particular protein on the HuProt(TM) array. Z-scores are described in units of standard deviations (SD's) above the mean value of all signals generated on that array. If the targets on the HuProt(TM) are arranged in descending order of the Z-score, the S-score is the difference (also in units of SD's) between the Z-scores. The S-score therefore represents the relative target specificity of an Ab to its intended target.
CRYAB Antibody Y79 Cell WB. Western blot testing of human Y79 cell lysate with CRYAB antibody (clone CPTC-CRYAB-1). Predicted molecular weight: ~20 kDa.
SDS-PAGE analysis of purified, BSA-free CRYAB antibody (clone CPTC-CRYAB-1) as confirmation of integrity and purity.
Availability 1-3 business days
Species Reactivity Human, Rat
Format Purified
Host Mouse
Clonality Monoclonal (mouse origin)
Isotype Mouse IgG2c, kappa
Clone Name CPTC-CRYAB-1
Purity Protein G affinity chromatography
UniProt P02511
Localization Cytoplasmic, nuclear
Applications Western Blot : 0.5-1ug/ml
Immunohistochemistry (FFPE) : 0.5-1ug/ml for 30 min at RT
Limitations This CRYAB antibody is available for research use only.
Review this product on BioCompare and get a $20 Amazon gift card

Related Products

Description

Crystallins are the major proteins of the vertebrate eye lens, where they maintain the transparency and refractive index of the lens. Crystallins are divided into alpha, beta and gamma families, and the beta- and gamma-crystallins also compose a superfamily. Crystallins usually contain seven distinct protein regions, including four homologous motifs, a connecting peptide, and N- and C-terminal extensions. Alpha-crystallins consist of three gene products, alpha-A-, alpha-B- and alpha-C-crystallin, which are members of the small heat shock protein family (HSP 20). Alpha-crystallins act as molecular chaperones by holding denatured proteins in large soluble aggregates. However, unlike other molecular chaperones, alpha-crystallins do not renature these proteins. Expression of alpha-A-crystallin is restricted to the lens and defects of this gene cause the development of autosomal dominant congenital cataracts (ADCC). The human alpha-B-crystallin gene product is expressed in many tissues, including lens, heart and skeletal muscle. Elevated expression of alpha-B-crystallin is associated with many neurological diseases, and a missense mutation in this gene has co-segregated in a family with a Desmin-related myopathy.

For a microarray-validated reference CRYAB antibody with confirmed specificity, see clone CRYAB/4657.

Application Notes

Optimal dilution of the CRYAB antibody should be determined by the researcher.

1. The prediluted format is supplied in a dropper bottle and is optimized for use in IHC. After epitope retrieval step (if required), drip mAb solution onto the tissue section and incubate at RT for 30 min.

Immunogen

A full length recombinant human protein was used as the immunogen for the CRYAB antibody.

Storage

Store the CRYAB antibody at 2-8oC (with azide) or aliquot and store at -20oC or colder (without azide).

Cross
Bulk Quote Request Form
Name*:
Organization*:
Email*:
Phone Number*:
Catalog No.*:
Comments and Specifics(amount, formulation, etc.)*:
Validation code: Captchapackage Image


Can't read the image? click here to refresh.
    *required field

Your bulk quote request has been submitted successfully!

Please contact us if you have any questions.